Студопедия

КАТЕГОРИИ:


Архитектура-(3434)Астрономия-(809)Биология-(7483)Биотехнологии-(1457)Военное дело-(14632)Высокие технологии-(1363)География-(913)Геология-(1438)Государство-(451)Демография-(1065)Дом-(47672)Журналистика и СМИ-(912)Изобретательство-(14524)Иностранные языки-(4268)Информатика-(17799)Искусство-(1338)История-(13644)Компьютеры-(11121)Косметика-(55)Кулинария-(373)Культура-(8427)Лингвистика-(374)Литература-(1642)Маркетинг-(23702)Математика-(16968)Машиностроение-(1700)Медицина-(12668)Менеджмент-(24684)Механика-(15423)Науковедение-(506)Образование-(11852)Охрана труда-(3308)Педагогика-(5571)Полиграфия-(1312)Политика-(7869)Право-(5454)Приборостроение-(1369)Программирование-(2801)Производство-(97182)Промышленность-(8706)Психология-(18388)Религия-(3217)Связь-(10668)Сельское хозяйство-(299)Социология-(6455)Спорт-(42831)Строительство-(4793)Торговля-(5050)Транспорт-(2929)Туризм-(1568)Физика-(3942)Философия-(17015)Финансы-(26596)Химия-(22929)Экология-(12095)Экономика-(9961)Электроника-(8441)Электротехника-(4623)Энергетика-(12629)Юриспруденция-(1492)Ядерная техника-(1748)

Эхокардиография. Методика исследования сердца и крупных сосудов с помощью катетера (зонда), который вводится в их просвет через периферическую вену или артерию

Ангиокардиография

Методика исследования сердца и крупных сосудов с помощью катетера (зонда), который вводится в их просвет через периферическую вену или артерию. Для проведения катетеризации правых отделов сердца, системы легочной артерии и легочных вен производят пункцию вен левого плеча или бедра, а левых – пункцию правой бедренной артерии. Чтобы исследовать левое предсердие, также выполняют пункцию межпредсердной перегородки из правого предсердия. Исследование проводят под контролем рентгеноскопии. Путем катетеризации можно определить газовый состав и давление крови в исследуемых полостях сердца и сосудах, а также ударный и минутный объем правого и левого желудочков, произвести внутрисердечную запись электро- и фонокардиограмм, установить наличие и размеры шунта и направление сброса крови. Через катетер вводят рентгеноконтрастные средства и выполняют серию рентгенограмм – ангиограмм. Катетеризация выполняется также для закрытия открытого артериального протока и дефекта межпредсердной перегородки, лечения коронарной недостаточности и инфаркта миокарда (эндоваскулярная дилатация ограниченных сужений коронарных артерий).

Показания: катетеризацию и ангиографию проводят при невозможности получить полную информацию с помощью эхо-КГ, подозрении на выраженную митральную недостаточность, а также при других клапанных пороках и ИБС.

Противопоказания: катетеризацию сердца обычно не проводят больным моложе 40 лет, в отсутствие жалоб и факторов риска ИБС, при изолированном митральном стенозе; в этих случаях показания к вальвулопластике или операции определяют на основании только неинвазивного исследования. Противопоказаниями являются также: эндокардит, отек легких, кровохарканье, пароксизмальная тахикардия, флебит периферических вен, правожелудочковая недостаточность, почечная и печеночная недостаточность, острые инфекционные заболевания, тиреотоксикоз, заболевания крови, непереносимость йодистых препаратов.

Ультразвуковое исследование сердца может выполняться в М-режиме, с помощью двухмерной (2D) эхокардиографии, допплерографии. При помощи эхо-КГ можно исследовать структуру, функцию и патологические изменения клапанов сердца, межжелудочковой перегородки, стенок полостей сердца, состояние камер сердца и перикарда, а также выявления внутрисердечных шунтов, особенностей гемодинамики, сократительной способности миокарда, патологии перикарда. Особое значение имеет данный метод в диагностике новообразований сердца, внутрисердечных тромбов, кардиомиопатий. Использование эхоконтрастных средств улучшает информацию о кровотоке через миокард. Эхоконтрастные средства применяются для распознавания дефектов межпредсердной (МПП) и межжелудочковой перегородок (МЖП).

Стандартные эхо-КГ позиции:

1. Парастернальный доступ – область III-V межреберья слева от грудины.

2. Верхушечный (апикальный) доступ – зона верхушечного толчка.

3. Субкостальный доступ – область над мечевидным отростком.

4. Супрастернальный доступ – югулярная ямка.

Для исследования в двухмерном режиме и при допплерографии чаще используют левый парастернальный и апикальный доступы. Исследование в М-режиме также проводят из левого парастернального доступа. Получение изображений проводят по продольной и поперечной оси сердца из указанных позиций.

В парастернальной позиции по длинной оси левого желудочка видны:

1. Передняя стенка правого желудочка.

2. Полость правого желудочка.

3. Верхняя и средняя части МЖП.

4. Часть полости левого желудочка.

5. Аорта и аортальный клапан.

6. Митральный клапан.

7. Левое предсердие.

8. Задняя стенка левого желудочка.

Для лучшего изучения полости левого желудочка и митрального клапана датчик устанавливают таким образом, чтобы раскрытие створок митрального клапана и передне-задний размер левого желудочка были максимальными. Для изучения аорты и аортального клапана несколько изменяют положение датчика так, чтобы диаметр корня аорты и ее восходящего отдела были максимальными.

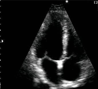
ТК
МК
МПП
МЖП
ПП
ЛП
ЛЖ
ПЖ

Рис. 7. Эхокардиограмма (апикальная позиция, сечение по длинной оси). Обозначения: ПЖ – правый желудочек, ЛЖ – левый желудочек, ЛП – левое предсердие, МЖП – межжелудочковая перегородка, МПП – межпредсердная перегородка, МК – митральный клапан, ТК – трикуспидальный клапан.

Апикальная четырехкамерная позиция позволяет одновременно визуализировать левый и правый желудочки (по их длинным осям), МЖП, левое и правое предсердия, межпредсердную перегородку, а также митральный и трехстворчатый клапаны. Эта позиция используется для исследования левых и правых отделов сердца, количественной оценки сократимогсти левого желудочка.

Таблица 1 – Некоторые эхокардиографические показатели у здоровых лиц

Показатель Значения
М-режим
КДРлж 38–56 мм
КСРлж 22–38 мм
КДРпж 15–22 мм
КДРлп 19–33 мм
Ао 20–36 мм
ТМЖПд 7–10 мм
ТЗСЛЖд 8–11 мм
Ампл. Раскрытия АК Более 18 мм
Сист. экскурсия МЖП 5–6 мм
Сист. экскурсия ЗСЛЖ 8–12 мм
Режим допплер-эхо-КГ (по L.Hatle, B.Angelsen, 1985) (максимальные скорости потоков)
Митральный поток (пик Е) 0,9 (0,6–1,3) м/с
Трикуспидальный поток (пик Е) 0,5 (0,3–0,7) м/с
Легочная артерия 0,75 (0,6–0,9) м/с
Выходной отдел ЛЖ 0,96 (0,7–1,1) м/с
Аорта 1,35 (1,0–1,7) м/с
<== предыдущая лекция | следующая лекция ==>
Аортография | Радионуклидные исследования сердца
Поделиться с друзьями:


Дата добавления: 2014-01-15; Просмотров: 669; Нарушение авторских прав?; Мы поможем в написании вашей работы!


Нам важно ваше мнение! Был ли полезен опубликованный материал? Да | Нет



studopedia.su - Студопедия (2013 - 2025) год. Все материалы представленные на сайте исключительно с целью ознакомления читателями и не преследуют коммерческих целей или нарушение авторских прав! Последнее добавление




Генерация страницы за: 0.012 сек.