Студопедия

КАТЕГОРИИ:


Архитектура-(3434)Астрономия-(809)Биология-(7483)Биотехнологии-(1457)Военное дело-(14632)Высокие технологии-(1363)География-(913)Геология-(1438)Государство-(451)Демография-(1065)Дом-(47672)Журналистика и СМИ-(912)Изобретательство-(14524)Иностранные языки-(4268)Информатика-(17799)Искусство-(1338)История-(13644)Компьютеры-(11121)Косметика-(55)Кулинария-(373)Культура-(8427)Лингвистика-(374)Литература-(1642)Маркетинг-(23702)Математика-(16968)Машиностроение-(1700)Медицина-(12668)Менеджмент-(24684)Механика-(15423)Науковедение-(506)Образование-(11852)Охрана труда-(3308)Педагогика-(5571)Полиграфия-(1312)Политика-(7869)Право-(5454)Приборостроение-(1369)Программирование-(2801)Производство-(97182)Промышленность-(8706)Психология-(18388)Религия-(3217)Связь-(10668)Сельское хозяйство-(299)Социология-(6455)Спорт-(42831)Строительство-(4793)Торговля-(5050)Транспорт-(2929)Туризм-(1568)Физика-(3942)Философия-(17015)Финансы-(26596)Химия-(22929)Экология-(12095)Экономика-(9961)Электроника-(8441)Электротехника-(4623)Энергетика-(12629)Юриспруденция-(1492)Ядерная техника-(1748)

Перфузионную сцинтиграфию




Ацинус

Легочных артерий и бронхов

См

3 - 3 см

4 - 4 см

5 - 5 см

 

::Вопрос 24::

Угол бифуркации трахеи составляет в норме

1 - 15-400

2 - 450

3 - 900

4 - 50-700

5 - 65-950

 

::Вопрос 25::

Основой сегментарного строения легкого является разветвление

1 - бронхов

2 - легочных артерий

3 - легочных вен

 

::Вопрос 26::

Наименьшей автономной единицей легкого является {

2 - долька

3 - сегмент

4 - доля

 

 

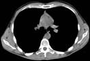
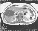
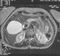
::Вопрос 27:: Метод исследования 1 - КТ в медиастинальном режиме 2 - КТ в легочном режиме 3 - МРТ, Т2-взвешенное изображение 4 - МРТ, Т1-взвешенное изображение  
::Вопрос 28:: Метод исследования 1 - КТ в медиастинальном режиме 2 - КТ в легочном режиме 3 - МРТ, Т2-взвешенное изображение 4 - МРТ, Т1-взвешенное изображение  
  ::Вопрос 29:: Метод исследования 1 - КТ в медиастинальном режиме 2 - КТ в легочном режиме 3 - МРТ, Т2-взвешенное изображение 4 - МРТ, Т1-взвешенное изображение  
::Вопрос 30:: Метод исследования 1 - КТ в медиастинальном режиме 2 - КТ в легочном режиме 3 - МРТ, Т2-взвешенное изображение 4 - МРТ, Т1-взвешенное изображение  

 

::Вопрос 31::

Для исследования капиллярного легочного кровотока используют

2 - ингаляционную сцинтиграфию

3 - ангиопульмонографию

4 - бронхиальную артериографию

5 - допплерографию

 

::Вопрос 32::

К рентгенологическим симптомам острого бронхита относятся

1 - усиление легочного рисунка

2 - деформация легочного рисунка

3 - потеря структуры корней легких




Поделиться с друзьями:


Дата добавления: 2014-12-23; Просмотров: 451; Нарушение авторских прав?; Мы поможем в написании вашей работы!


Нам важно ваше мнение! Был ли полезен опубликованный материал? Да | Нет



studopedia.su - Студопедия (2013 - 2026) год. Все материалы представленные на сайте исключительно с целью ознакомления читателями и не преследуют коммерческих целей или нарушение авторских прав! Последнее добавление




Генерация страницы за: 0.01 сек.