Студопедия

КАТЕГОРИИ:


Архитектура-(3434)Астрономия-(809)Биология-(7483)Биотехнологии-(1457)Военное дело-(14632)Высокие технологии-(1363)География-(913)Геология-(1438)Государство-(451)Демография-(1065)Дом-(47672)Журналистика и СМИ-(912)Изобретательство-(14524)Иностранные языки-(4268)Информатика-(17799)Искусство-(1338)История-(13644)Компьютеры-(11121)Косметика-(55)Кулинария-(373)Культура-(8427)Лингвистика-(374)Литература-(1642)Маркетинг-(23702)Математика-(16968)Машиностроение-(1700)Медицина-(12668)Менеджмент-(24684)Механика-(15423)Науковедение-(506)Образование-(11852)Охрана труда-(3308)Педагогика-(5571)Полиграфия-(1312)Политика-(7869)Право-(5454)Приборостроение-(1369)Программирование-(2801)Производство-(97182)Промышленность-(8706)Психология-(18388)Религия-(3217)Связь-(10668)Сельское хозяйство-(299)Социология-(6455)Спорт-(42831)Строительство-(4793)Торговля-(5050)Транспорт-(2929)Туризм-(1568)Физика-(3942)Философия-(17015)Финансы-(26596)Химия-(22929)Экология-(12095)Экономика-(9961)Электроника-(8441)Электротехника-(4623)Энергетика-(12629)Юриспруденция-(1492)Ядерная техника-(1748)

События, предшествующие оплодотворению




Для того чтобы произошло оплодотворение, сперматозоид должен последовательно преодолеть три барьера: лучистый венец состоящий из нескольких слоев фолликулярных клеток, прозрачную оболочку и, наконец, плазматическую мембрану яйцеклетки, при слиянии которой с плазмолеммой сперматозоида и начинается собственно оплодотворение. Сперматозоид легко проникает через лучистый венец между рыхло расположенными фолликулярными клетками и достигает прозрачной болочки. Прозрачная оболочка— существенный барьер на пути сперматозоида. При взаимодействии сперматозоида с прозрачной оболочкой последовательно происходят, следующие события: связывание сперматозоида с его рецептором -> акросомная реакция -> расщепление компонентов зона пелюцида ферментами акросомы -> проникновение сперматозоида через образовавшийся в оболочке канал к плазматической мембране яйцеклетки. Взаимодействие сперматозоида с прозрачной оболочкой происходит в два этапа. Сначала сперматозоид слабо прикрепляется к прозрачной оболочке. На этом этапе взаимодействие не видоспецифично, сперматозоиды легко отделяются осторожным смыванием. На втором этапе сперматозоиды прочно связываются со своими рецепторами. Это взаимодействие видоспецифично (видовую специфичность беспечивает также акрозин, освобождающийся в ходе акросомной реакции).

 

Способность к оплодотворению. Для успешного оплодотворения яйцеклетка должна встретиться со сперматозоидом в течение одних суток. Максимальный срок жизнеспособности сперматозоида в женских половых путях 2 суток жизнеспособность овулировавшей яйцеклетки примерно вдвое больше. Из практических соображений время, в течение которого овулировавшая яйцевая клетка может быть оплодотворена, оценивают в 5 суток.

 

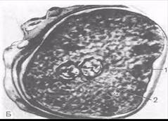
После сближения женского и мужского пронуклеусов, которое продолжается у млекопитающих около 12 ч, образуется зигота — одноклеточный зародыш. Уже на стадии зиготы выявляются презумптивные зоны (лат. presumptio — вероятность, предположение) как источники развития соответствующих участков бластулы, из которых в дальнейшем формируются зародышевые листки.

 

Рис. Зигота человека в стадии сближения мужского и женского ядер (пронуклеусов): (по Б.П.Хватову).

1 — женское ядро; 2 — мужское ядро.

 




Поделиться с друзьями:


Дата добавления: 2015-03-31; Просмотров: 678; Нарушение авторских прав?; Мы поможем в написании вашей работы!


Нам важно ваше мнение! Был ли полезен опубликованный материал? Да | Нет



studopedia.su - Студопедия (2013 - 2026) год. Все материалы представленные на сайте исключительно с целью ознакомления читателями и не преследуют коммерческих целей или нарушение авторских прав! Последнее добавление




Генерация страницы за: 0.01 сек.