Студопедия

КАТЕГОРИИ:


Архитектура-(3434)Астрономия-(809)Биология-(7483)Биотехнологии-(1457)Военное дело-(14632)Высокие технологии-(1363)География-(913)Геология-(1438)Государство-(451)Демография-(1065)Дом-(47672)Журналистика и СМИ-(912)Изобретательство-(14524)Иностранные языки-(4268)Информатика-(17799)Искусство-(1338)История-(13644)Компьютеры-(11121)Косметика-(55)Кулинария-(373)Культура-(8427)Лингвистика-(374)Литература-(1642)Маркетинг-(23702)Математика-(16968)Машиностроение-(1700)Медицина-(12668)Менеджмент-(24684)Механика-(15423)Науковедение-(506)Образование-(11852)Охрана труда-(3308)Педагогика-(5571)Полиграфия-(1312)Политика-(7869)Право-(5454)Приборостроение-(1369)Программирование-(2801)Производство-(97182)Промышленность-(8706)Психология-(18388)Религия-(3217)Связь-(10668)Сельское хозяйство-(299)Социология-(6455)Спорт-(42831)Строительство-(4793)Торговля-(5050)Транспорт-(2929)Туризм-(1568)Физика-(3942)Философия-(17015)Финансы-(26596)Химия-(22929)Экология-(12095)Экономика-(9961)Электроника-(8441)Электротехника-(4623)Энергетика-(12629)Юриспруденция-(1492)Ядерная техника-(1748)

Продольно-медиальное сканирование




Лет.

Оссификация бугристости большеберцовой кости.

В

Продольное сканирование области

«ромбовидного пространства».

1 — надколенник; 2 — собственная связка надко­ленника; 3 — инфрапателлярное жировое тело.

Рис. 19.118. УЗИ коленного сустава взрослого. Визуализация передней крестообразной связки.

1 — собственная связка надколенника; 2 — инфра­пателлярное жировое тело; 3 — большеберцовая кость; 4 — передняя крестообразная связка.

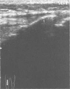
Рис. 19.119. УЗИ коленного сустава. 11 лет.

1 — хрящевая бугристость болыпеберцовой кости;

2 — собственная связка надколенника; 3 — эпифиз большеберцовой кости; 4 — метафиз большеберцо-вой кости.

Рис. 19.120. УЗИ коленного сустава. Начальная

1 — начальные ядра оссификации бугристости; 2 — эпифиз большеберцовой кости; 3 — собственная связка надколенника.

различного возраста собственная связка надколенника прикреплется к неполностью или полностью оссифицированной бугристости большеберцовой кости, имеющей различную эхогенность и структуру в зависимости от возрастного этапа оссификации (рис. 19.119— 19.123). При этом эхоструктура самой связки с возрастом не меняется. Постепенно с возра­стом несколько меняется эхогенность связки (от меньшей до более высокой).

Визуализация медиальной коллатеральной связки (рис. 19.124), тела внутреннего менис­ка, медиального отдела суставного пространства осуществляется при сканировании вдоль ме­диального отдела сустава. Оценивается состо­яние суставной щели, контуры бедренной и большеберцовой костей, толщина и состояние гиалинового хряща, состояние срединной ча­сти мениска. Медиальная коллатеральная связ­ка, ее глубокий и поверхностный слои опреде­ляются как линейные волокнистые гиперэхо-генные структуры с гипоэхогенной полоской

Рис. 19.121. УЗИ коленных суставов. 13 лет. Ядра оссификации бугристостей большеберцовых костей.

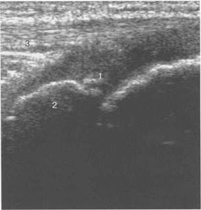
Рис. 19.122. УЗИ коленного сустава. 15 лет. Продольное сканирование.

1 — бугристость большеберцовой кости (оссифицирована), зона роста закрыта неполностью; 2 — собственная связка надколен­ника.

между ними за счет срединного жирового слоя и возмож­ного наличия синовиальной сумки. Медиальная колла­теральная связка шире, чем другие связки, и располагается от внутреннего мыщелка бедра до медиальной поверхно­сти проксимального отдела большеберцовой кости. Ее ги-перэхогенный поверхностный слой образован плотной со­единительной тканью, что обеспечивает фиксацию ме­диального мыщелка бедра и проксимального отдела большеберцовой кости. Многие специалисты рассматри­вают внутренний слой, образованный из двух более мел­ких связок, соединяющих медиальный мениск с бедрен­ной и большеберцовой костями, как менискофеморальную и менискотибиальную связки. Таким образом, при УЗИ медиальная коллатеральная связка определяется трехслойной: два гипер-эхогенных слоя (внутренний и наружный) разделены гипоэхогенной срединной структурой. Обычно улучшение визуализации тела медиального мениска для оценки мениска достига­ется сгибанием ноги в коленном суставе до 45—60°. Смещение датчика несколько кзади и кпе­реди позволяет хорошо дифференцировать гиперэхогенные задний и передний рог мениска (рис. 19.128).

Рис. 19.123. УЗИ коленного сустава. 16 лет. Продольное сканирование.

1 — неполностью оссифицированная бугристость большеберцовой кости; 2 — собственная связка над­коленника.

Рис. 19.124. УЗИ коленного сустава. 14 лет.




Поделиться с друзьями:


Дата добавления: 2014-11-20; Просмотров: 677; Нарушение авторских прав?; Мы поможем в написании вашей работы!


Нам важно ваше мнение! Был ли полезен опубликованный материал? Да | Нет



studopedia.su - Студопедия (2013 - 2026) год. Все материалы представленные на сайте исключительно с целью ознакомления читателями и не преследуют коммерческих целей или нарушение авторских прав! Последнее добавление




Генерация страницы за: 0.01 сек.