Студопедия

КАТЕГОРИИ:


Архитектура-(3434)Астрономия-(809)Биология-(7483)Биотехнологии-(1457)Военное дело-(14632)Высокие технологии-(1363)География-(913)Геология-(1438)Государство-(451)Демография-(1065)Дом-(47672)Журналистика и СМИ-(912)Изобретательство-(14524)Иностранные языки-(4268)Информатика-(17799)Искусство-(1338)История-(13644)Компьютеры-(11121)Косметика-(55)Кулинария-(373)Культура-(8427)Лингвистика-(374)Литература-(1642)Маркетинг-(23702)Математика-(16968)Машиностроение-(1700)Медицина-(12668)Менеджмент-(24684)Механика-(15423)Науковедение-(506)Образование-(11852)Охрана труда-(3308)Педагогика-(5571)Полиграфия-(1312)Политика-(7869)Право-(5454)Приборостроение-(1369)Программирование-(2801)Производство-(97182)Промышленность-(8706)Психология-(18388)Религия-(3217)Связь-(10668)Сельское хозяйство-(299)Социология-(6455)Спорт-(42831)Строительство-(4793)Торговля-(5050)Транспорт-(2929)Туризм-(1568)Физика-(3942)Философия-(17015)Финансы-(26596)Химия-(22929)Экология-(12095)Экономика-(9961)Электроника-(8441)Электротехника-(4623)Энергетика-(12629)Юриспруденция-(1492)Ядерная техника-(1748)

Митральный стеноз




 

Митральный стеноз или сужение левого атриовентрикулярного отверстия является самым частым ревматическим пороком сердца. Митральный стеноз создает препятствие движению крови из левого предсердия в левый желудочек. По данным статистики на 100000 населения имеется 50-80 больных митральным стенозом. Нередко митральный стеноз сочетается с недостаточностью митрального клапана. В развитии митрального стеноза часто отмечается следующая закономерность: вначале появляются признаки митральной недостаточности, а затем стенозирования. В среднем порок развивается через 5 – 15 лет от начала ревматизма. Формирование стеноза происходит обычно медленно. Тем не менее, выраженный стеноз чаще наблюдается в относительно молодом возрасте. У женщин этот порок встречается в четыре раза чаще, чем у мужчин. Первые закрытые комиссуротомии связаны с именами E. Cutler (1923) и H. Soutar (1925). Первую закрытую митральную комиссуротомию путем расширения стенозированного митрального отверстия пальцем, введенным через ушко левого предсердия, произвел английский хирург Суттар (H. Soutar) в 1925 году. Ч. Бейли (США) в 1948 году с помощью комиссуротома успешно осуществил закрытую митральную комиссуротомию. В Росссии А.Н. Бакулев в 1952 году первым произвел закрытую митральную комиссуротомию. Первая успешная коррекция митрального клапана в условиях искусс­твенного кровообращения выполнена У. Лиллехаем в 1957 году. Первая успешная имплантация створчатого протеза в митральную позицию проведена N. Braunwald в 1961 году, а шарового клапана - A. Starr в этом же году. В России в 1963 году Г.М. Соловьев впервые протезировал митральный клапан с помощью шарового протеза.

Патогенез. Сужение левого атриовентрикулярного отверстия наиболее часто начинается за счет сращения соприкасающихся между собой краев створок митрального клапана вблизи фиброзного кольца, где их подвижность ограничена. Образующиеся по полюсам клапана в области комиссур (места перехода одной створки в другую) сращения, постепенно распространяются к середине митрального отверстия, которое постепенно суживается. В таких ситуациях срастаются преимущественно створки клапана и формируется стеноз в виде "пуговичной или пиджачной петли". По данным различных авторов, такой механизм формирования стеноза отмечается в 60% - 80% случаев. При втором типе формирования стеноза, кроме сращения створок, отмечается вовлечение в процесс подклапанных структур. К ним относятся сухожильные нити и сосочковые мышцы. Они склерозируются, укорачиваются и срастаются между собой. Вследствие чего створки втягиваются, и клапан приобретает вид воронкообразного втяжения в форме "рыбьего рта". В этих ситуациях за счет изменения подклапанных структур может сформироваться второе сужение, называемое подклапанным стенозом. Фиброзное кольцо теряет эластичность. Постепенно створки склерозируются и в них могут откладываться соли кальция. Возможен кальциноз клапанно-подклапанных структур.

Термин "митральный" клапан стал использоваться вследствие схожести своей формы с митрой (головным убором) священнослужителя. В норме площадь левого атриовентрикулярного отверстия колеблется от 4 до 6 см2. Длина окружности составляет от 9 до 11 см. Это отверстие обладает значительным резервом площади. Поэтому только уменьшение его наполовину начинает вызывать гемодинамические на­рушения. Считается, что при площади митрального отверстия в 1,5 - 2 см² (при круглой форме отверстия это соответствует диаметру 1,5 см), начинаются клинические проявления митрального стеноза. Опыт хирургического лечения показал, что у большинства больных, нуждавшихся в операции, площадь митрального отверстия составляла 0,5 - 1 см². В зависимости от диаметра митрального отверстия, В.И. Бураковский (1989) выделил три степени стеноза: 1) резкий – до 0,5 см; 2) значительный – 0,5 – 1 см; 3) умеренный – свыше 1 см.

Нарушения гемодинамики. Митральный стеноз создает препятствие для изгнания крови из левого предсердия в левый желудочек и поэтому в левом предсердии давление повышается до 20 - 25 мм рт. ст. (норма 5 - 9 мм рт. ст.). При значительном стенозе давление может повышаться до 35 мм рт. ст. В связи с этим увеличивается разница (градиент) давления левое предсердие - левый желудочек и удлиняется систола левого предсердия. В результате чего облегчается прохождение крови через стенозированное отверстие. Эти два механизма: рост давления в левом предсердии и удлинение систолы левого предсердия первоначально компенсируют внутрисердечную гемодинамику. Дальнейший подъём давления в левом предсердии приводит к повышению давления в лёгочных венах. В ответ на повышение давления в лёгочных венах, рефлекторно повышается давление в лёгочных артериолах (рефлекс Китаева). Это защитный сосудосуживающий рефлекс, предохраняющий от отёка легких. Постепенно нарастающее давление в лёгочной артерии может достигать 60 и даже 200 мм рт. ст. Нормальное давление в легочной артерии около 25 мм рт. ст. Длительный спазм лёгочных артериол вызывает пролиферацию их гладкой мускулатуры. Вследствие чего происходит утолщение средней оболочки лёгочных артериол и сужение их просвета, что приводит к диффузным склеротическим изменениям. Аналогичные процессы происходят в лёгочной паренхиме. Лёгкие резко уплотняются. В конечном итоге возникает бурая индурация легких. Термин "бурая индурация легких" в конце XIX-го века предложил выдающийся немецкий исследователь Рудольф Вирхов. В результате описанных выше изменений развивается выраженная лёгочная гипертензия. Таким образом, кроме первого барьера току крови в области митрального стеноза, появляется второй барьер в лёгких, вследствие высокой лёгочной гипертензии, что резко увеличивает нагрузку на правый желудочек. Вначале возникает его гипертрофия, а в дальнейшем выраженная функциональная недостаточность. В итоге наступает декомпенсация в большом круге кровообращения. Следует подчеркнуть, что в миокарде также развиваются различной степени выраженности дистрофические изменения. Одним из наиболее частых проявлений поражения проводящей система сердца при митральном стенозе является мерцательная аритмия. При мерцательной аритмии в ушке и полости левого предсердия могут образовываться тромбы. Процессам тромбообразования способствуют также повышенное давление и замедленный кровоток в левом предсердии

Клиническая картина зависит от степени стеноза. Если стеноз умеренный и пока еще компенсируется усиленной работой левого предсердия, то жалоб может не быть. Однако компенсаторные возможности левого предсердия невелики. Как только повышается давление в малом круге кровообращения, то сразу же появляются жалобы на одышку. Вначале одышка возникает при физической нагрузке. По мере нарастания лёгочной гипертензии одышка усиливается. При выраженной лёгочной гипертензии появляется одышка в покое и возможно возникновение приступов сердечной астмы. Кроме одышки возникают жалобы на кашель. Кашель может быть сухим или с мокротой, возможно кровохарканье. Больных беспокоят сердцебиения. Порой бывают боли в области сердца. Появляется чувство слабости и повышенная утомляемость. В основном это объясняется уменьшением минутного объёма сердца. У больных с умеренным стенозом внешний вид, как правило, не изменен. При выраженном митральном стенозе и лёгочной гипертензии у пациентов нередко наблюдается типичное "митральное лицо" (facies mitralis). При этом на фоне бледной кожи лица отмечается резко очерченный румянец щек с цианозом губ и кончика носа. Это, так называемая "митральная бабочка" или "митральный румянец". Однако "митральная бабочка" чаще является признаком резко выраженного процесса. Под мечевидным отростком, а также в третьем-четвертом межреберьях слева от грудины нередко наблюдается пульсация, обусловленная гипертрофированным правым желудочком. Иногда при осмотре, особенно у истощённых больных, может наблюдаться некоторое выбухание в области нижней трети грудины. Это, так называемый, "сердечный горб", что связано с гипертрофией и дилатацией правого желудочка и усиленными его ударами о переднюю грудную стенку. Однако это также поздний признак. Пульс может быть малого наполнения вследствие уменьшения сердечного выброса. Пальпаторно на верхушке сердца или несколько латеральнее, иногда определяется диастолическое дрожание, так называемое "кошачье мурлыканье". Оно обусловлено низкочастотными колебаниями крови (турбуленцией) при ее прохождении через суженное митральное отверстие во время диастолы желудочков. Перкуторно можно отметить увеличение размеров сердца вверх за счет ушка левого предсердия, а также вправо за счет правого предсердия. Аускультация имеет большое значение в диагностике митрального стеноза. Наиболее важным аускультативным признаком является значительное усиление первого тона (хлопающий первый тон) на верхушке и в точке Боткина. Одним из объяснений усиления первого тона является то, что вследствие митрального стеноза левый желудочек заполняется кровью во время диастолы в недостаточном количестве. Створки митрального клапана в конце диастолы при стенозе из-за малого наполнения левого желудочка продолжают находиться на большом расстоянии от митрального отверстия. Вследствие этого их движение происходит с большей, чем в норме, амплитудой. У здоровых людей в конце диастолы при полном заполнении левого желудочка кровью, створки близко подходят к митральному отверстию и последующая их амплитуда небольшая. На верхушке сердца выслушивается тон открытия (the opening snap of mitral valve, английская терминолгия) или, как его еще называют, щелчок открытия митрального клапана (claquement d,ouverture de la mitrale – французская терминология). Этот третий тон возникает вслед за вторым тоном. Появление третьего тона связывают с резким движением створок митрального клапана в начале диастолы. Следует отметить, что этот тон не исчезает и при мерцательной аритмии. При повышении давления в лёгочной артерии во втором межреберье слева от грудины начинает выслушиваться акцент второго тона. Часто этот тон раздвоен. Последнее обусловлено неодновременным захлопыванием клапанов лёгочной артерии и аорты. Хлопающий первый тон в сочетании с акцентированным вторым тоном и тоном открытия митрального клапана создают характерную аускультативную трёхчленную мелодию, так называемый "ритм или бой перепела". Это также сравнивается с ударом молота, а затем молоточка о наковальню в работе кузнеца (bruit de rappel, французская терминология). Характерным аускультативным симптомом митрального стеноза является диастолический шум. Он возникает вследствие движения крови во время диастолы через суженное митральное отверстие с большой скоростью и турбуленцией (завихрением) в результате градиента (разницы) давления в левом предсердии и левом желудочке. Тембр шума чаще низкий, рокочущий. Данный шум наиболее хорошо выслушивается на верхушке сердца. Лучше он выслушивается тотчас после нагрузки и при положении больного на левом боку с задержкой дыхания в фазе выдоха. В таких ситуациях сердце теснее прилегает к передней грудной стенке, а кровоток через левые отделы сердца еще более усиливается. Таким образом, мелодия митрального стеноза складывается из следующих звуковых феноменов: громкий (хлопающий) I тон, щелчок открытия митрального клапана, диастолический шум с пресистолическим усилением. Пресистолический шум объясняется прохождением крови через суженное митральное отверстие в момент систолы предсердия.

Рис. 95. Фонокардиограмма больного с митральным стенозом.

В дальнейшем, вследствие дилатации левого предсердия, а также его дистрофических и склеротических изменений, возникает мерцательная аритмия.

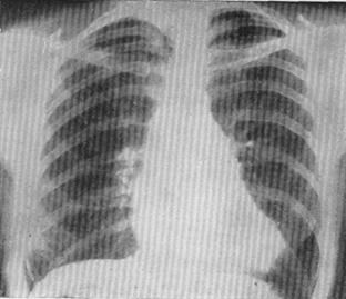
Рентгеновское исследование констатирует изменение размеров сердца за счет увеличения левого предсердия и правого желудочка. Все четыре дуги на левом контуре дифференцируются отчетливо. Однако исчезает талия сердца за счет выбухания второй (лёгочная артерия) и третьей (левое предсердие) дуг по левому контуру, а также гипертрофии и дилатации правого желудочка. Это характерно для "митральной" конфигурации сердечного силуэта (рис. 96,97).

Рис. 96,97. Рентгенограмма больного с митральным стенозом. А- прямая проекция. Усиленный легочной рисунок. Значительное увеличение дуги легочной артерии; Б- I косая проекция (правая). Контрастированный пищевод отклоняется по дуге малого радиуса (менее 7 см).

 

Наиболее отчётливые рентгенологические признаки увеличения левого предсердия определяются в первой косой проекции с контрастированным пищеводом. При этом пищевод отклоняется вправо и кзади. Считается, что отклонение контрастированного пищевода по дуге малого радиуса (до 6 см) характерно для митрального стеноза, а по дуге большого радиуса (свыше 6-7 см) - для митральной недостаточности. В боковой проекции отмечается увеличение правого желудочка и выбухание лёгочного ствола. Электрокардиография является ценным методом диагностики митрального стеноза. При этом обнаруживается гипертрофия левого предсердия и правого желудочка. Также диагностируются возможные нарушения сердечного ритма: мерцательная аритмия и различного рода блокады. Фонокардиография (ФКГ) также имеет большое диагностическое значение. ФКГ представляет собой объективную графическую запись сердечных тонов и шумов, выслушиваемых врачом. Регистрируется усиление интенсивности первого тона, появление третьего тона и диастолического шума с пресистолическим усилением. Второй тон чаще усилен и расщеплён (рис. 95). Эхокардиография стала вехой в совершенствовании диагностики пороков сердца. Исследования с помощью современной ультразвуковой аппаратуры по существу решают почти все диагностические проблемы при ППС. При этом выявляются размеры камер сердца, степень их гипертрофии и дилатации. Для митрального стеноза характерно увеличение размеров левого предсердия и гипертрофия правого желудочка. Также определяется диаметр атриовентрикулярного отверстия, состояние створок клапана и подклапанных структур. Определяется степень возможного кальциноза створок и фиброзного кольца. Выявляется уровень регургитации при сопутствующей митральной недостаточности. Возможно обнаружение тромбоза ушка левого предсердия.

Для улучшения понимания происхождения патогенетических изменений у больных с митральным стенозом считаем необходимо привести классификацию, предложенную А.Н. Бакулевым, Е.А. Дамир. В основу которой положены стадии расстройств кровообращения.

I стадия. Стадия полной компенсации кровообращения. Больной не предъявляет жалоб. Однако мелодия митрального стеноза уже выслушивается. Давление в левом предсердии повышается до 15 мм.рт.ст. (норма 5-8 мм.рт.ст.). Рентгенологически отмечается незначительное увеличение левого предсердия. В первое время в левый желудочек проходит нормальное количество крови. Однако эта компенсация длится короткое время, так как левое предсердие является “слабым”, тонкостенным и быстро возникает его недостаточность.

II стадия. Стадия относительной недостаточности кровообращения. Появляются первые признаки гипертензии в малом круге кровообращения. Постоянной жалобой является одышка при физической нагрузке. Могут быть боли в сердце, которые обусловлены ревматическим коронаритом. Боли кратковременны. Площадь митрального отверстия уменьшается до 1,5 см2. В связи со слабостью левого предсердия полного опорожнения его не происходит, возникает застой и повышается давление в системе легочных вен. Давление в левом предсердии- 15-20 мм.рт.ст. После нагрузки давление в левом предсердии может повышаться почти до осмотического давления плазмы (25 мм.рт.ст.). Повышение давления выше этого уровня сопровождается отеком легких. Однако опасность отека легких во II стадии не велика, благодаря адаптационным механизмам- защитному рефлексу Китаева. Это нервно-рефлекторный спазм мелких легочных артерий на прекапиллярном уровне. Однако спазм не постоянен. В данной стадии заболевания может регистрироваться кровохарканье, в результате выраженного застоя крови в легких, разрыва расширенных бронхиальных вен, а также из-за возможного наличия геморрагических инфарктов легкого. По данным ЭКГ регистрируется p-митрале, признаки перегрузки правого желудочка, по данным рентгенографии- гипертрофия правого желудочка, увеличение 2 и 3 дуг по левому контуру сердца (митральная конфигурация).

III стадия. Начальная стадия выраженной недостаточности кровообращения. Отмечается застой крови, как в малом, так и большом кругах кровообращения. Имеет место постоянный спазм на уровне артериол легких (второй барьер). Давление в легочной артерии повышается до 50-80 мм.рт.ст. Развиваются морфологические изменения на уровне артериол. Усиленная работа правого желудочка сердца вызывает его гипертрофию и тоногенную дилятацию. В начале правый желудочек справляется с данной нагрузкой, но затем наступает декомпенсация. Происходит застой в венозной системе большого круга кровообращения, который клинически характеризуется отеками на ногах, повышением венозного давления до 300 мм водного столба (норма 100 мм вод. ст.), увеличением печени. В этой стадии заболевания определяется симптом Ортнера- осиплость голоса в результате паралича левого возвратного нерва, возникшего в результате сдавления его расширенным левым предсердием.

По ЭКГ определяется отклонение электрической оси сердца вправо, гипертрофия правого желудочка. По данным рентгенографии сердца в трех проекциях регистрируется застойный рисунок легких. Тень сердца увеличена за счет правых отделов сердца. Увеличение 3 дуги по левому контуру сердца приводит к сглаживанию “талии” сердца, создает так называемую митральную конфигурацию. Выбухает 2 дуга по левому контуру. На правом контуре сердца появляется добавочная тень, накладывающаяся на тень правого предсердия за счет значительного расширения левого предсердия.

IV стадия. Стадия резко выраженной недостаточности кровообращения со значительным застоем в большом круге. Сердце значительно увеличено, печень больших размеров, плотная. Венозное давление высокое. Регистрируется мерцательная аритмия, как результат перерастяжения левого предсердия. По данным ультразвукового дуплексного сканирования может диагностироваться тромбообразование левого предсердия. Возможны осложнения в виде тромбоэмболии магистральных артерий большого круга кровообращения. Эту стадию можно подразделить на IVА IV Б. Если определяется ощутимый клинический эффект после консервативной терапии (уменьшаются отеки, сокращаются размеры печени и т.д.), то это IVА стадия. В этой стадии еще можно выполнить митральную комиссуротомию. Точнее имеются абсолютные показания к расширению левого атрио-вентрикулярного отверстия. В IV Б стадии заболевания диагностируется кардиальный цирроз печени с гипербилирубинемией, асцит, значительные периферические отеки. То есть преобладают необратимые изменения в легких, печени и других органах. Оперативное лечение не показано.

V стадия. Наблюдаются необратимые расстройства кровообращения и внутренних органов, не поддающиеся лечению. Диагностируется “бычье” сердце, постоянный асцит, полисерозит.

Наличие резкого и значительного митрального стеноза является абсолютным показанием к оперативному лечению. При постановке показаний к митральной комиссуротомии необходимо ориентироваться на стадии заболевания по классификации А.Н. Бакулева, Е.А. Дамир. Оперативное лечение (митральная комиссуротомия) показана во II, III и IVА стадиях заболевания (3-4 функциональный класс). У больных с IVА стадией имеются абсолютные показания к операции. Однако результаты значительно хуже. Лица с IVБ и V стадиями не операбельны и нетрудоспособны.

Для выполнения закрытой митральной комиссуротомии используется двух лопастной дилататор, который впервые предложил Дюбо (рис. 98,99).

Беременность не является противопоказанием к митральной комиссуротомии.

Беременные со II, III стадиями заболевания достаточно хорошо переносят операцию.

 

Рис. 98, 99. Митральный комиссуротом Дебо – общий вид, вид режущей части в открытом состоянии.

 

У большинства из них сохраняется беременность. Они благополучно рожают. Однако необходимо рекомендовать беременность после выполнения оперативного вмешательства. Если при наличии сроков беременности 37-39 недель, диагностируется предотек или отек легких, необходимо выполнять по срочным или экстренным показаниям закрытую митральную комиссуротомию и одновременно- кесарево сечение.

У больных с митральным стенозом нередко выполняют закрытую митральную комиссуротомию. Однако предпочтение следует отдавать открытой комиссуротомии с пластическими вмешательствами в условиях искусственного кровообращения.

При выраженном кальцинозе клапана, а также при грубых деформациях его створок и подклапанных структур, особенно сочетающихся с митральной недостаточностью проводится протезирование клапана. В настоящее время отдается предпочтение низкопрофильным двустворчатым дисковым протезам. Также используются биологические клапаны сердца. По определенным показаниям после зондирования левых полостей сердца с помощью специального инструментария выполняется катетерная баллонная (дилатация) вальвулопластика.




Поделиться с друзьями:


Дата добавления: 2014-11-18; Просмотров: 2286; Нарушение авторских прав?; Мы поможем в написании вашей работы!


Нам важно ваше мнение! Был ли полезен опубликованный материал? Да | Нет



studopedia.su - Студопедия (2013 - 2026) год. Все материалы представленные на сайте исключительно с целью ознакомления читателями и не преследуют коммерческих целей или нарушение авторских прав! Последнее добавление




Генерация страницы за: 0.01 сек.