Студопедия

КАТЕГОРИИ:


Архитектура-(3434)Астрономия-(809)Биология-(7483)Биотехнологии-(1457)Военное дело-(14632)Высокие технологии-(1363)География-(913)Геология-(1438)Государство-(451)Демография-(1065)Дом-(47672)Журналистика и СМИ-(912)Изобретательство-(14524)Иностранные языки-(4268)Информатика-(17799)Искусство-(1338)История-(13644)Компьютеры-(11121)Косметика-(55)Кулинария-(373)Культура-(8427)Лингвистика-(374)Литература-(1642)Маркетинг-(23702)Математика-(16968)Машиностроение-(1700)Медицина-(12668)Менеджмент-(24684)Механика-(15423)Науковедение-(506)Образование-(11852)Охрана труда-(3308)Педагогика-(5571)Полиграфия-(1312)Политика-(7869)Право-(5454)Приборостроение-(1369)Программирование-(2801)Производство-(97182)Промышленность-(8706)Психология-(18388)Религия-(3217)Связь-(10668)Сельское хозяйство-(299)Социология-(6455)Спорт-(42831)Строительство-(4793)Торговля-(5050)Транспорт-(2929)Туризм-(1568)Физика-(3942)Философия-(17015)Финансы-(26596)Химия-(22929)Экология-(12095)Экономика-(9961)Электроника-(8441)Электротехника-(4623)Энергетика-(12629)Юриспруденция-(1492)Ядерная техника-(1748)

Диагностика. ЭКГ.Увеличение амплитуды комплекса QRSв отведении V5,6




ЭКГ. Увеличение амплитуды комплекса QRS в отведении V5,6.

При выраженном пороке появляются изменения конечной части желудочкового комплекса в виде депрессии сегмента ST и негативного зубца Т в отведениях V5,6,I, aVL. Возможна полная блокада левой ножки пучка Гиса.

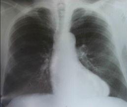
Рентгенологическое исследование.

В периоде компенсации порока незначительно увеличен левый желудочек. С развитием сердечной недостаточности происходит увеличение левого желудочка с выбуханием аорты, затем левого предсердия и, наконец, правого желудочка (рис. 8-3).

Рис. 8-3. Стеноз аортального клапана.

Эхокардиография.

Утолщение миокарда (задней стенки и межжелудочковой перегородки), деформация створок клапана аорты и нарушение их подвижности.

Течение стеноза устья аорты соответствует эволюции гемодинамических расстройств.

Первый период — компенсация порока усиленной работой левого желудочка. В этих случаях порок иногда выявляют случайно, так как такие больные не предъявляют жалоб. У всех больных определяются «клапанные» признаки порока, наличие и выраженность «левожелудочковых» и «сосудистых» признаков обусловливаются степенью стенозирования устья аорты

Второй период — нарушение сократительной функции левого желудочка. Проявляется приступами одышки (часто по ночам в виде сердечной астмы) или приступами стенокардии, также часто возникающей по ночам.

Третий период — правожелудочковой недостаточности с развитием застойных явлений в большом круге кровообращения. В этот период одышка может несколько уменьшаться за счет «перемещения» застойных явлений в большой круг. Обычно период сердечной недостаточности длится относительно короткое время (1-2 года). Устойчивость нарушений кровообращений является весьма характерным признаком данного порока.

Осложнения.

Левожелудочковая недостаточность.

Коронарная недостаточность.

Прогноз без операции зависит от симптомов: при появлении стенокардии средняя продолжительность жизни - 3-5 лет;при обмороках - 2-3 года; при сердечной недостаточности – до 1 года;в 10-20% смерть наступает внезапно.




Поделиться с друзьями:


Дата добавления: 2014-12-16; Просмотров: 455; Нарушение авторских прав?; Мы поможем в написании вашей работы!


Нам важно ваше мнение! Был ли полезен опубликованный материал? Да | Нет



studopedia.su - Студопедия (2013 - 2026) год. Все материалы представленные на сайте исключительно с целью ознакомления читателями и не преследуют коммерческих целей или нарушение авторских прав! Последнее добавление




Генерация страницы за: 0.013 сек.