Студопедия

КАТЕГОРИИ:


Архитектура-(3434)Астрономия-(809)Биология-(7483)Биотехнологии-(1457)Военное дело-(14632)Высокие технологии-(1363)География-(913)Геология-(1438)Государство-(451)Демография-(1065)Дом-(47672)Журналистика и СМИ-(912)Изобретательство-(14524)Иностранные языки-(4268)Информатика-(17799)Искусство-(1338)История-(13644)Компьютеры-(11121)Косметика-(55)Кулинария-(373)Культура-(8427)Лингвистика-(374)Литература-(1642)Маркетинг-(23702)Математика-(16968)Машиностроение-(1700)Медицина-(12668)Менеджмент-(24684)Механика-(15423)Науковедение-(506)Образование-(11852)Охрана труда-(3308)Педагогика-(5571)Полиграфия-(1312)Политика-(7869)Право-(5454)Приборостроение-(1369)Программирование-(2801)Производство-(97182)Промышленность-(8706)Психология-(18388)Религия-(3217)Связь-(10668)Сельское хозяйство-(299)Социология-(6455)Спорт-(42831)Строительство-(4793)Торговля-(5050)Транспорт-(2929)Туризм-(1568)Физика-(3942)Философия-(17015)Финансы-(26596)Химия-(22929)Экология-(12095)Экономика-(9961)Электроника-(8441)Электротехника-(4623)Энергетика-(12629)Юриспруденция-(1492)Ядерная техника-(1748)

Информационная часть. Механическая желтуха(МЖ) - окрашивание в желтый цвет кожи, склер и слизистых оболочек вследствие гипербилирубинемии




Механическая желтуха (МЖ) - окрашивание в желтый цвет кожи, склер и слизистых оболочек вследствие гипербилирубинемии, возникшей из-за непроходимости желчевыводящих протоков. Синонимы - обтурационная, подпеченочная, застойная, компрессионная. Развитие МЖ значительно утяжеляет состояние больного и осложняет лечение основного заболевания.

В основе МЖ лежит механическое препятствие оттоку желчи из печени в двенадцатиперстную кишку за счет закупорки, сдавления или стриктуры желчевыводящих путей. Механизм обтурационной желтухи состоит в нарушении экскреции прямого (конъюгированного) билирубина в пищеварительный тракт. В результате развития закупорки желчных протоков происходит обратное поступление в кровь билирубинглюкуронида.

Частота холелитиаза при желчнокаменной болезни (ЖКБ) достигает 30-35%, около 20% пациентов имеют «молчащие» камни общего печеночного или общего желчного протоков. Наиболее часто камни локализуются в терминальном отделе общего желчного протока, в области большого дуоденального сосочка. Полная обтурация общего желчного протока приводит к быстрому развитию МЖ.

Клинические проявления МЖ обусловлены ее причиной - основным заболеванием, вызвавшим обструкцию желчных протоков, однако имеются и общие признаки, указывающие на наличие меха-

Схема 27. Взаимосвязь дисциплины с целями обучения других дисциплин

Схема 28. Взаимосвязь целей обучения данной и ранее изученных тем

нического характера желтухи. При МЖ отмечается выраженное окрашивание кожных покровов и слизистых оболочек, кожные покровы приобретают желтовато-зеленую окраску. При длительном существовании обтурационной желтухи кожные покровы приобретают черновато-бронзовый цвет. Почти всегда пациенты отмечают интенсивный зуд. При осмотре отмечаются расчесы.

Для МЖ при ЖКБ характерно наличие приступа желчной колики, предшествующего развитию желтухи. Часто отмечают преходящее повышение температуры тела до 39 °С и потрясающие ознобы. Для закупорки камнем характерно усиление желтухи вслед за болевым приступом. Желтуха развивается уже через 24-28 ч после начала болей или потрясающего озноба, что имеет большое дифференциально-диагностическое значение. Полная закупорка камнем бывает редко, поэтому для МЖ при ЖКБ характерно волнообразное течение желтухи с периодами усиления и ослабления окрашивания кожных покровов, усиления и снижения интенсивности окрашивания мочи и обесцвечивания кала. Приступы желчной колики могут иметь рецидивирующий характер.

В анализе крови отмечают повышение СОЭ, лейкоцитоз со сдвигом формулы крови влево, гипербилирубинемия за счет прямого (конъюгированного) билирубина. Выраженность гипербилирубинемии не достигает высоких показателей (не более 10 мг%).

Важным при дифференциально-диагностическом анализе желтухи является исследование мочи и кала: моча приобретает тем-

ную окраску, становится «цвета пива», при микроскопическом ее исследовании отмечают билирубинурию (в отличие от гемолитической желтухи), отсутствие повышения уровня уробилиногена в моче (в отличие от паренхиматозной желтухи). Каловые массы становятся бесцветными, ахоличными; их исследование демонстрирует отсутствие стеркобилина. Выраженность этих признаков также носит волнообразный характер.

При дуоденальном зондировании часто можно получить небольшое количество желчи; микроскопически в ней выявляют лейкоциты, кристаллы холестерина и билирубина. При рентгенографии в желтушной стадии имеет значение только прямое обнаружение желчных камней.

Наиболее информативны УЗИ, эндоскопическая ретроградная панкреатохолангиография (ЭРПХГ), чрескожная чреспеченочная холангиография (ЧЧХГ). Дополнительные сведения могут дать сканирование печени с радиоактивным золотом или технецием, ангиография печени, КТ.

Длительно существующая МЖ приводит к развитию тяжелых осложнений: острой печеночно-почечной недостаточности, холемического кровотечения, острой сердечно-сосудистой недостаточности, энцефалопатии, билиарного цирроза печени.

МЖ является абсолютным показанием к операции. Выжидание очень опасно, так как тяжесть состояния больных с обтурационной желтухой определяется длительностью существования желтухи, нарушением функции почек и печени, а также сердечно-сосудистой системы, наличием сопутствующей инфекции в желчных путях, выраженностью нарушений обмена веществ. При гнойном холангите показана срочная операция.

Предоперационная подготовка включает: 1) интенсивную дезинтоксикационную терапию, коррекцию нарушений водно-электролитного баланса, антибиотикотерапию; 2) декомпрессию желчевыводящих путей.

Хирургическое лечение может быть радикальным и паллиативным. У тяжелых больных с длительно существующей МЖ проводят дооперационную декомпрессию желчных протоков - лапароскопическую холецистостомию, чрескожную чреспеченочную холангиостомию (ЧЧХС), эндоскопическое транспапиллярное дренирование общего желчного протока.

Выбор метода декомпрессии желчных путей определяется уровнем их обтурации. Дооперационную декомпрессию желчных протоков про-

водят пациентам с острым калькулезным холециститом, осложненным развитием МЖ и холангита. После устранения холестаза и воспалительных явлений пациенту проводят радикальную операцию.

Оперативный доступ должен обеспечивать минимум травматичности, оптимальный обзор желчных путей и возможность манипуляций на окружающих органах. Этим требованиям отвечает срединная лапаротомия от мечевидного отростка и ниже пупка на 5-6 см. При ЖКБ, осложненной холедохолитиазом, холедохолитотомия может представлять значительные трудности, как и сама холецистэктомия. Вариантами завершения оперативного вмешательства являются:

- холецистодигестивные анастомозы;

- супрадуоденальная холедохопапиллотомия;

- холедоходуоденостомия;

- трансдуоденальная папиллосфинктеротомия;

- наружное дренирование желчных протоков.

Наиболее предпочтительно наложение анастомоза на отключенной по Ру петле кишки: реконструктивная операция на желчных протоках; сквозной (сменный) транспеченочный дренаж; дренажи Фолкера. Завершают операцию только при полном отсутствии подтекания желчи и крови.

В этом разделе будут рассмотрены вопросы неопухолевых заболеваний поджелудочной железы (ПЖ), приводящих к развитию МЖ. С клинической точки зрения наиболее употребима МарсельскоРимская классификация, согласно которой выделяют:

- хронический кальцифицирующий панкреатит;

- хронический обструктивный панкреатит;

- хронический фиброзно-индуративный панкреатит;

- хронические кисты и псевдокисты ПЖ.

Людей, страдающих МЖ, следует относить к группе пациентов с острыми хирургическими заболеваниями. В настоящее время большинство зарубежных и отечественных авторов считают оптимальным проведение лечения больных МЖ в два этапа. На первом этапе выполняют временную наружную или внутреннюю декомпрессию билиарных путей с помощью различных методов желчеотведения, а на втором, после ликвидации МЖ, при плановой операции стараются устранить причину, вызвавшую МЖ. Такая тактика лечения позволяет добиться уменьшения количества послеоперационных осложнений и снижения уровня общей летальности.

Вместе с тем в ходе разработки способов желчеотведения у больных МЖ возникает ряд проблем и спорных вопросов. Тяжелыми

осложнениями МЖ являются холангит и печеночная недостаточность (ПН). Ведущим фактором в патогенезе холангита является холестаз с последующим присоединением инфекции.

В последнее время для декомпрессии желчных путей используют малоинвазивные эндоскопические или чрескожные чреспеченочные методы желчеотведения под контролем рентгенологического аппарата, ультразвукового аппарата, компьютерного томографа (КТ) или лапароскопа.

Основными вопросами в лечении МЖ остаются сроки и виды декомпрессивных вмешательств, методы профилактики и лечения послеоперационной ПН. Кроме того, оценки эффективности, преимуществ и недостатков различных «закрытых» и «открытых» методов декомпрессии желчных путей при МЖ не проводилось. Поэтому проблема выбора инструментальной дооперационной декомпрессии желчных протоков при МЖ и гнойном холангите остается предметом дискуссии.

Основная цель хирургического вмешательства при МЖ - декомпрессия желчевыводящих путей, устранение обтурации, ликвидация желтухи и профилактика возникновения или прогрессирования ПН. В настоящее время арсенал желчеотводящих методов при МЖ достаточно велик и включает:

- эндоскопическую ретроградную холангиопанкреатографию (ЭРПХГ) с эндоскопической папиллосфинктеротомией

(ЭПСТ);

- чрескожную чреспеченочную холангиографию (ЧЧХГ) с чрескожной чреспеченочной холангиостомией (ЧЧХС);

- холецистостомию под контролем УЗИ, КТ или лапароскопа;

- назобилиарное дренирование;

- различные варианты эндопротезирования желчных протоков;

- различные интраоперационные методы декомпрессии желчных протоков.

МЖ может быть доброкачественного (наблюдается у 45-55% больных) и злокачественного генеза. Среди МЖ доброкачественного генеза наиболее часто встречается холедохолитиаз, в остальных случаях речь идет о рубцовых стриктурах внепеченочных желчных путей, панкреатитах, паразитарных заболеваниях гепатодуоденальной зоны (ГДЗ), дивертикулах и доброкачественных опухолях большого дуоденального сосочка (БДС). Опухолевая природа заболевания обусловлена раком головки ПЖ, БДС, желчного пузыря, гепатикохоледоха, ворот печени и метастазами рака другой локализации в печень.

Накопленный опыт лечения больных МЖ позволил нам разработать и внедрить новый алгоритм диагностики и лечения данной категории больных. В алгоритм диагностики МЖ, кроме стандартного клинико-лабораторного исследования, входят УЗИ, ЭГДС, ЭРПХГ, КТ, ЧЧХГ и лапароскопия. Каждое исследование при необходимости можно превратить из диагностической процедуры в лечебное вмешательство. При разработке алгоритма мы исходили из того, что МЖ должна быть ликвидирована как можно раньше от начала заболевания из-за опасности развития холангита и ПН. При этом процесс диагностики МЖ не должен отодвигать сроки начала ее лечения. Целесообразно диагностику и лечение МЖ проводить одновременно, хотя нередко лечение опережает по времени дифференциальную диагностику причины и уровня обтурации желчных путей.

Лечение больных с МЖ должно носить комплексный характер. Консервативные мероприятия помимо нормализации гомеостаза и инфузионной терапии включают:

- удаление из организма токсических веществ. Это достигается проведением форсированного диуреза, а также введением гемодеза и аналогичных ему препаратов;

- введение пластических веществ, необходимых для репаративных процессов печеночной паренхимы. При этом необходимо иметь в виду два основных момента: во-первых, до устранения желчной гипертензии пластические вещества усваиваются гепатоцитами плохо и в небольших количествах. Во-вторых, перегрузка ими организма больного до восстановления нормального оттока желчи предъявляет повышенные требования к гепатоцитам и вследствие этого может вызвать срыв адаптационных процессов и ухудшить функцию печени. В связи с этим пластические вещества должны назначаться в дозах на уровне минимальных терапевтических (если предварительно не проводилась холецистоили холангиостомия) и не слишком продолжительными курсами (до 7-10 дней). К этой группе препаратов относятся нуклеинат натрия и другие пуриновые и пирмидиновые основания: метацин, пентоксил, оротат калия и др.;

- улучшение обмена веществ в гепатоцитах. С этой целью целесообразно введение АТФ, коэнзима А, комплекса витаминов группы В, аскорбиновой кислоты, мексидола и др. Для нормализации сниженного уровня факторов свертывания крови, протромбинового комплекса обязательно введение викасола;

- применение анаболических гормонов. Дозы препаратов не должны быть большими, чтобы не вызвать срыва компенсаторных процессов в гепатоцитах. Следует предостеречь от применения гипербарической оксигенации, которая эффективна лишь после устранения желчной гипертензии. Для улучшения кровоснабжения паренхимы печени обязательно введение препаратов, улучшающих микроциркуляцию (реополиглюкина и др.);

- борьбу с инфекцией. Введение антибактериальных препаратов у больных с длительной МЖ и сниженным вследствие этого иммунитетом должно сочетаться с проведением курса стимулирующей терапии продигиозаном, имунофаном или левамизолом.

Все существующие малоинвазивные методы декомпрессии билиарной системы можно разделить на две группы: эндоскопические (без нарушения целостности кожного покрова) и чрескожные. К первой группе относятся ЭРПХГ с ЭПСТ, назобилиарное дренирование, различные варианты эндопротезирования желчных путей. ЭРПХГ с ЭПСТ на протяжении многих лет остается основным методом эндоскопического лечения холедохолитиаза. Этот метод позволяет в 85-90% случаев удалять конкременты из общего желчного протока и восстанавливать желчеотток. ЭРПХГ дает возможность не только контрастировать протоки, но и визуально оценить состояние БДС, а также периампулярной области. С этой точки зрения возможности ЭРПХГ, безусловно, шире по сравнению с другими методами исследования желчевыводящих путей. При наличии крупных фиксированных камней по ходу магистральных желчных протоков к ретроградному контрастированию последних прибегать не следует, ограничившись проведением УЗИ или КТ. Ретроградное контрастирование в этом случае ведет к ухудшению состояния больного в связи с увеличением гипертензии во внутрипеченочных протоках, инфицированием и затрудненной эвакуацией контрастного вещества и желчи. В такой ситуации показана чрескожная чреспеченочная декомпрессия желчных путей. Если размер камня больше диаметра образованного устья общего желчного протока, прибегают к внутрипротоковому разрушению камня с помощью ретроградной механической литотрипсии. Эта методика, по данным многих зарубежных авторов, может быть признана высокоэффективной. Иногда ЭРПХГ с ЭПСТ недоступна после резекции желудка по Бильрот-II в связи с наличием крупных дивертикулов и непреодолимых препятствий в устье общего желчного протока.

Необходимость во временном эндопротезировании гепатикохоледоха и назобилиарном дренировании вызвана наличием у пациентов выраженной желтухи и холангита в условиях, когда санация гепатикохоледоха оказалась неполной и желчеотток не был окончательно восстановлен. Назобилиарное дренирование в этих случаях помимо желчеотведения позволяет также промывать желчные пути растворами антибиотиков, что способствует быстрой ликвидации холангита и дает возможность выполнять рентгеноконтрастные исследования для контроля за отхождением фрагментов разрушенного камня и мелких конкрементов.

Транспапиллярное эндопротезирование гепатикохоледоха нами выполняется в основном при опухолях панкреатобилиарной зоны, стриктурах. Для этой цели используются стандартные эндопротезы фирм Olimpus (Япония) и Willson-Cook (США), сроки функционирования которых составляют 4-5 мес. Перед эндопротезированием выполняется ЭПСТ в целях профилактики острого панкреатита, который может возникнуть при обтурации устья панкреатического протока концом эндопротеза.

Ко второй группе малоинвазивных методов декомпрессии желчных путей относят ЧЧХГ с ЧЧХС, чрескожную чреспеченочную холецистостомию под контролем УЗИ, КТ или лапароскопа. Несмотря на совершенствование УЗИ-диагностики и КТ, объективная информация о патологии желчных протоков, достаточная для принятия решения о методе декомпрессии, может быть получена только при прямом контрастировании желчных путей. Широкое распространение получили методы чрескожных чреспеченочных эндобилиарных вмешательств. Их удается осуществить независимо от уровня и протяженности обтурации желчных путей. Осложнения и летальность при них составляют от 3 до 10%. На начальном этапе ЧЧХГ проводили в целях дифференциальной диагностики МЖ, определения уровня блока желчных протоков, решения вопроса о возможности выполнения наружного дренирования. Абсолютными противопоказаниями к ЧЧХГ мы считаем непереносимость контрастных препаратов и выраженные нарушения свертывающей системы крови.

С внедрением в клиническую практику УЗИ, КТ потребность в выполнении ЧЧХГ сократилась. В настоящее время мы выполняем ЧЧХГ у больных с незначительной дилатацией желчных протоков, а также при подозрении на доброкачественную стриктуру желчных

протоков и вентильный камень дистального отдела гепатикохоледоха у пациентов, которым невозможно выполнить ЭРПХГ.

В последние годы наложение чрескожной чреспеченочной холецистостомы под контролем УЗИ, КТ или лапароскопа стало наиболее распространенным методом, позволяющим не только сразу установить характер и место обтурации желчных путей, но и осуществить их декомпрессию. Рентгенологический вид блока при заболеваниях, вызывающих обтурационную желтуху, не является строго специфичным, что может быть объяснено различной распространенностью процесса, наличием мелких включений, замазкоподобных масс и воспалительного отека. Противопоказания к чрескожным чреспеченочным вмешательствам: множественные метастазы в печень, крайне тяжелое состояние больных с некорригируемой ПН, выраженная гипокоагуляция с угрозой кровотечения.

Целесообразность применения каждого метода декомпрессии определяется несколькими факторами:

- информативностью диагностической методики;

- возможностью трансформации диагностической процедуры в эффективное лечебное вмешательство;

- безопасностью метода (вероятностью осложнений и степенью их тяжести);

- технической сложностью метода.

Преимущественное значение, определяющее лечебный результат, имеют два первых фактора.

С учетом накопленного нами опыта мы рекомендуем придерживаться следующей схемы лечебно-диагностических малоинвазивных инструментальных вмешательств при МЖ: клинико-лабораторные

данные, УЗИ, КТ, ЭРПХГ или ЧЧХГ, ЭПСТ или ЧЧХС.

Если возможности малоинвазивных методов декомпрессии желчных протоков исчерпаны или ограничены, то в срочном порядке больному показана лапаротомия с выполнением одного из методов интраоперационного желчеотведения.

Адекватность декомпрессии оценивается нами путем изучения функционального состояния печени и изменения пейзажа микрофлоры. О степени нарушения функционального состояния печени позволяют судить данные радиоизотопной гепатографии, антипириновой и биливердиновой проб, которые выявляют снижение поглотительно-выделительной и обезвреживающей функций печени, повышение уровня билирубина в крови. Для выявления степени

инфицированности желчи и определения эффективности антибактериальной терапии проводится изучение микрофлоры и количественного бактериологического анализа желчи методом газовой хроматографии и масс-спектрометрии.

Таким образом, малоинвазивные эндоскопические и чрескожные чреспеченочные декомпрессионные вмешательства представляют собой эффективный способ восстановления желчеоттока при обструкции билиарной системы. Эти методики позволяют достаточно быстро и эффективно ликвидировать МЖ и холангит, дают возможность проводить хирургические вмешательства в наиболее благоприятных условиях, в плановом порядке, а у больных пожилого возраста с тяжелой сопутствующей патологией могут служить альтернативой хирургическому лечению. Эти вмешательства малотравматичны и сопровождаются небольшим числом осложнений. Применение этих методов позволяет значительно улучшить результаты лечения больных МЖ.

Ситуационная задача № 1

У больного, 49 лет, периодически отмечаются болевые приступы в правом подреберье с повышением температуры, ознобом. Болен 3 года. Выполнено УЗИ. Эхограмма прилагается (рис. 67).

Поставьте диагноз.

Ситуационная задача № 2

Больная, 58 лет, длительное время страдала ЖКБ. В анамнезе - желтуха, возникшая после приступа. На операции при холангиографии выявлена следующая картина (рис. 68). Диаметр холедоха 18 мм.

Ваш диагноз? Дальнейшая тактика?

Ситуационная задача № 3

Больной, 53 лет, поступил с жалобами на ноющие боли в верхних отделах живота, усиливающие после еды, похудание. Из анамнеза известно, что 3 года назад перенес острый панкреатит. Злоупотребляет алкоголем. Объективно: пациент пониженного питания, показатели общего клинического и биохимического анализов крови в норме. При УЗИ в проекции головки ПЖ определяется полость (рис. 69) диаметром 45 мм, с однородным жидким содержимым, эхоплотными

Рис. 67. Эхосканограмма больного, 49 лет (стрелкой указана теневая дорожка от конкремента)

Рис. 68. Холангиограмма больной, 58 лет

Рис. 69. УЗ-сканограмма органов брюшной полости больного, 53 лет

стенками до 4 мм, проток ПЖ расширен до 6 мм, ПЖ повышенной эхоплотности, с неровными, но четкими контурами; размеры тела и хвоста ПЖ не изменены. При КТ подтверждено наличие жидкостного образования (рис. 70). При пункционной цистографии выявлено контрастирование протока ПЖ, в полученной жидкости из полости в области головки ПЖ уровень амилазы 2500 ЕД.

Рис. 70. КТ брюшной полости того же больного

Ваш диагноз? Какие дополнительные методы исследования необходимы? Какое лечение показано? Рекомендации пациенту после выписки из стационара.

Ситуационная задача № 4

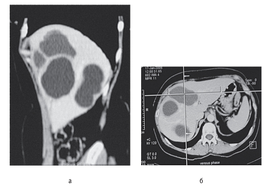
Больная, 56 лет. Около года назад возник приступ острых болей в правом подреберье. В экстренном порядке осуществлена надвлагалищная ампутация матки с придатками в связи с разрывом кисты. Серологическая реакция на эхинококкоз «+». Диагноз: эхинококкоз печени. Выполнена эхинококкэктомия из V-VIII сегментов печени с частичным иссечением фиброзной капсулы (рис. 71, 72).

Какой должна быть тактика врача в послеоперационном периоде? Рекомендации больной.

Рис. 71. КТ больной, 56 лет, в 2 проекциях (а, б)

Рис. 72 (см. также цв. вклейку). Удаленные образования. То же наблюдение

Тестовые задания

1. Желчные камни:

1) частота образования увеличивается с возрастом;

2) чаще образуются у женщин;

3) обычно связаны с увеличением содержания карбоната кальция в желчи;

4) формируются в желчных протоках при повышении содержания желчных кислот;

5) могут быть асимптомными.

2. Камни в общем желчном протоке:

1) обычно сопровождаются длительным анамнезом диспепсических расстройств;

2) всегда сопровождаются развитием желтухи;

3) должны быть удалены во время холецистэктомии;

4) редко требуют выполнения холедоходуоденостомии;

5) возможно лечение нехирургическими методами.

3. Желчные камни:

1) могут являться причиной периодически возникающего дискомфорта в эпигастральной области;

2) могут присутствовать даже при неизмененной холецистограмме или нормальной УЗ-картине;

3) являются причиной малигнизации;

4) могут лечиться медикаментозно;

5) чаще встречаются в развитых странах.

4. Холестериновые желчные камни:

1) наиболее частый тип желчных камней в европейских странах;

2) обычно появляются у пациентов при нарушении образования желчи;

3) могут образовываться в общем желчном протоке;

4) возникают у пациентов после проведения лечения желчными кислотами;

5) связаны с нарушением диеты.

5. Желчные камни в общем желчном протоке:

1) присутствуют приблизительно у 50% больных острым холециститом;

2) часто приводят к развитию желтухи, лихорадки и желчной колики;

3) обычно сопровождаются прогрессированием механической желтухи;

4) должны присутствовать, если пальпаторно определяется увеличенный желчный пузырь;

5) часто связаны с наличием внутрипеченочных желчных камней.

6. Пероральная холецистография:

1) может не контрастировать желчный пузырь при наличии желчных камней;

2) часто бывает безуспешной, если нарушена абсорбция в кишечнике;

3) будет контрастировать желчный пузырь только при содержании билирубина в сыворотке крови не менее 3 мг/100 мл (51 ммоль/л);

4) выявляет холелитиаз менее чем у 70% больных;

5) является наиболее точным методом диагностики ЖКБ.

7. При тяжелой желтухе диагноз внепеченочной обструкции желчных путей устанавливают с помощью:

1) внутривенной холангиографии;

2) рентгенографии после приема бариевой взвеси перорально;

3) УЗИ органов брюшной полости;

4) эндоскопической ретроградной холангиографии;

5) чрескожной чреспеченочной холангиографии.

8. Внутренние желчные свищи:

1) чаще всего являются осложнением холецистита;

2) в большинстве случаев образуются между желчным пузырем и двенадцатиперстной кишкой;

3) могут приводить к развитию кишечной непроходимости;

4) обычно сопровождаются холангитом;

5) приводят к развитию подпеченочной желтухи.

9. Симптомокомплекс желчной колики включает:

1) боль, иррадиирующую в правую лопатку или ключицу;

2) острую боль, которая рецидивирует каждые 2-5 мин;

3) тошноту и рвоту;

4) беспокойство и потливость;

5) боль, прекращающуюся после приема пищи.

10. Желчные камни:

1) образуются чаще у темнокожих африканцев и индийцев, чем у кавказцев;

2) 75% пациентов - люди старше 60 лет;

3) холестериновые камни составляют 75% всех желчных камней;

4) холестериновые камни обычно приводят к развитию цирроза печени;

5) обычно развиваются вследствие уменьшения образования в печени желчных кислот.

11. Желчные камни являются осложнением:

1) ожирения;

2) пероральной контрацептивной терапии;

3) хронической гемолитической анемии;

4) воспалительного заболевания подвздошной кишки;

5) лекарственной терапии при гиперлипидемии.

12. К осложнениям ЖКБ относятся:

1) рак желчного пузыря;

2) толстокишечная непроходимость;

3) острый панкреатит;

4) острый холецистит;

5) мукоцеле и эмпиема желчного пузыря.

13. Какие процессы способствуют образованию камней в желчном пузыре:

1) повышение уровня холестерина;

2) гипомоторная дискинезия желчного пузыря;

3) инфекция билиарного тракта;

4) повышение уровня желчных кислот в желчи;

5) снижение синтеза желчных кислот печенью.

14. Какие симптомы характерны для резидуального холедохолитиаза, не устраненного во время холецистэктомии:

1) перитонит;

2) приступы острых болей в правом подреберье и эпигастральной области;

3) приступы печеночной колики в анамнезе, сопровождающиеся желтухой;

4) повышение температуры тела до 38-39 °С;

5) парез кишечника.

15. К клиническим признакам холедохолитиаза относятся:

1) перитонит;

2) приступ острых болей в правом подреберье и эпигастральной области;

3) приступы печеночной колики в анамнезе, сопровождающиеся желтухой;

4) повышение температуры тела до 38-39 °С;

5) парез кишечника.

16. Для синдрома Курвуазье характерно:

1) желтушное окрашивание кожи и склер;

2) непальпируемый сморщенный желчный пузырь;

3) наличие пальпируемого воспаленного и болезненного желчного пузыря;

4) наличие пальпируемого эластичного и безболезненного желчного пузыря;

5) увеличение размеров печени.

17. Механическая желтуха обусловлена:

1) наличием конкремента в общем желчном протоке;

2) наличием ущемленного конкремента в пузырном протоке;

3) опухолью фатерова соска;

4) раком головки ПЖ;

5) травмой холедоха.

18. Осложнениями псевдокист ПЖ являются:

1) перфорация;

2) кровотечение;

3) нагноение;

4) дуоденальная непроходимость;

5) острый панкреатит.

19. При хронической ложной кисте головки ПЖ, сообщающейся с протоком ПЖ, показано:

1) наружное дренирование кисты;

2) пункция кисты;

3) цистодуоденоанастомоз;

4) резекция головки ПЖ с кистой;

5) панкреатодуоденальная резекция.

20. Для установления связи острой псевдокисты ПЖ с протоками этого органа наиболее информативны:

1) аспирационная пункция кисты с биохимическим исследованием ее содержимого;

2) КТ;

3) пункционная цистография;

4) ЭРПХГ;

5) УЗИ брюшной полости.

21. Больную с бессимптомной ЖКБ стали беспокоить приступообразные боли в правом подреберье, присоединилась выраженная желтуха. Билирубин 12 мг%, СОЭ 10 мм/ч. Живот мягкий, перитонеальных явлений нет. Какие методы могут подтвердить холедохолитиаз:

1) пероральная холангиография;

2) внутривенная холангиография;

3) ЭРПХГ;

4) сцинтиграфия печени;

5) УЗИ брюшной полости.

22. Ложные кисты ПЖ:

1) являются врожденными;

2) обычно растут из перитонеального мешка;

3) образуют ровное, гладкое образование в эпигастральной области, двигающееся при вдохе;

4) могут успешно лечиться с помощью внутреннего дренирования;

5) могут осложняться кровотечением.

23. Причинами развития хронического панкреатита являются:

1) гиперлипидемия;

2) гиперкальциемия;

4) злоупотребление алкоголем;

5) резекция ПЖ;

6) гемосидероз.

24. Типичные симптомы хронического панкреатита включают:

1) боль в спине, продолжающуюся от нескольких дней до нескольких недель;

2) уменьшение абсорбции витамина В12;

3) повышение содержания соды в поте;

4) боль в животе, развивающуюся через 12-24 ч после употребления алкоголя;

5) кальцификацию ПЖ на прямой рентгенограмме брюшной полости.

25. Ложные кисты ПЖ обычно связаны:

1) с развитием спустя 2 нед после острого панкреатита;

2) расширением кисты в перитонеальную полость;

3) лейкоцитозом и повышением активности панкреатической амилазы сыворотки крови;

4) развитием стеноза панкреатического протока;

5) исчезновением боли в животе и рвоты.

26. Какая этиологическая причина является доминирующей при возникновении хронического панкреатита:

1) хронический гастродуоденит;

2) дуоденостаз;

3) ЖКБ;

4) хронический алкоголизм;

5) хронический холецистит.

27. Методом выбора в хирургическом лечении кисты тела ПЖ является:

1) наружное дренирование кисты;

2) консервативная терапия;

3) чреспротоковое дренирование;

4) удаление кисты;

5) цистогастростомия.

28. Признаками острого панкреатита при УЗИ являются:

1) увеличение размеров ПЖ;

2) жидкость в сальниковой сумке;

3) нечеткость (размытость) контуров ПЖ;

4) расширение протока ПЖ >7 мм;

5) верно все.

29. Какие патологические изменения, выявляемые с помощью лапароскопии, характерны для обострения хронического панкреатита:

1) геморрагический выпот;

2) отек печеночно-двенадцатиперстной связки;

3) бляшки стеатонекроза на париетальной брюшине;

4) бляшки стеатонекроза на висцеральной брюшине;

5) гиперемия жировых подвесок. 30. Эхинококковые кисты печени:

1) в большинстве случаев асимптомны;

2) часто встречаются в Австралии;

3) успешно лечатся хирургически;

4) вызывают развитие желтухи и лихорадки;

5) развиваются реже, чем эхинококковые кисты легких.




Поделиться с друзьями:


Дата добавления: 2015-04-25; Просмотров: 969; Нарушение авторских прав?; Мы поможем в написании вашей работы!


Нам важно ваше мнение! Был ли полезен опубликованный материал? Да | Нет



studopedia.su - Студопедия (2013 - 2026) год. Все материалы представленные на сайте исключительно с целью ознакомления читателями и не преследуют коммерческих целей или нарушение авторских прав! Последнее добавление




Генерация страницы за: 0.012 сек.