Студопедия

КАТЕГОРИИ:


Архитектура-(3434)Астрономия-(809)Биология-(7483)Биотехнологии-(1457)Военное дело-(14632)Высокие технологии-(1363)География-(913)Геология-(1438)Государство-(451)Демография-(1065)Дом-(47672)Журналистика и СМИ-(912)Изобретательство-(14524)Иностранные языки-(4268)Информатика-(17799)Искусство-(1338)История-(13644)Компьютеры-(11121)Косметика-(55)Кулинария-(373)Культура-(8427)Лингвистика-(374)Литература-(1642)Маркетинг-(23702)Математика-(16968)Машиностроение-(1700)Медицина-(12668)Менеджмент-(24684)Механика-(15423)Науковедение-(506)Образование-(11852)Охрана труда-(3308)Педагогика-(5571)Полиграфия-(1312)Политика-(7869)Право-(5454)Приборостроение-(1369)Программирование-(2801)Производство-(97182)Промышленность-(8706)Психология-(18388)Религия-(3217)Связь-(10668)Сельское хозяйство-(299)Социология-(6455)Спорт-(42831)Строительство-(4793)Торговля-(5050)Транспорт-(2929)Туризм-(1568)Физика-(3942)Философия-(17015)Финансы-(26596)Химия-(22929)Экология-(12095)Экономика-(9961)Электроника-(8441)Электротехника-(4623)Энергетика-(12629)Юриспруденция-(1492)Ядерная техника-(1748)

Исходы тромба




Исходы тромба могут быть благоприятные и неблагоприятные.

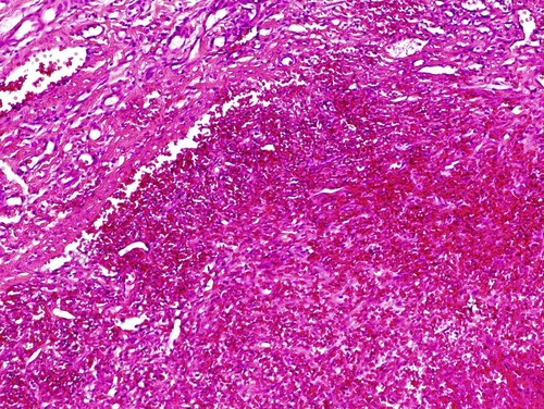
● Благоприятный исход. Уже на 5 день после образования тромба со стороны интимы начинается проникновение в него фибробластов и развивается организация, то есть замещение тромба врастающей соединительной тканью (рис. 3-9). Начинается с 6–11 дня, в результате контракции (сжатия) и ретракции (отслоения от стенки сосуда) тромботических масс в них могут образоваться каналы, развивается канализация тромба, через 5 нед заканчивается васкуляризация тромботических масс с частичным восстановлением кровотока. Возможно обызвествление (флеболиты) и, очень редко, даже оссификация тромбов. Иногда отмечается асептический аутолиз тромба под действием фибринолитической системы (прежде всего плазмина) и протеолитических ферментов макрофагов и нейтрофилов.

Рис. 3-9. Организующийся обтурирующий тромб с явлениями канализации. Окраска гематоксилином и эозином (x150).

● Неблагоприятный исход. Возникает при отрыве тромба или его части, образовании тромбоэмбола, при септическом (гнойном) расплавлении тромботических масс в связи с попаданием в них гноеродных бактерий.

Значение тромба определяется быстротой его формирования, локализацией, распространённостью, степенью сужения просвета поражённого сосуда.

Тромбы в мелких венах клетчатки малого таза не вызывают каких-либо патологических изменений в тканях, также как и небольшие, практически не нарушающие гемодинамику пристеночные тромбы в крупных артериях. Обтурирующие тромбы артерий являются причиной инфарктов, гангрены. Тромбоз селезёночной вены может обусловить венозный инфаркт органа, флеботромбоз глубоких вен нижних конечностей может явиться источником тромбоэмболии лёгочной артерии. Особенно большую опасность в отношении тромбоэмболии имеют прогрессирующие и септические тромбы. Иногда заполнение тромботическими массами аневризмы аорты или сердца способствует укреплению сосудистой стенки вследствие организации тромбов.

Шероховатые, плотные, крошащиеся тромботические массы, прикреплённые к сосудистой стенке, отличаются от гладких, эластичных, свободно лежащих посмертных сгустков крови, что помогает их дифференцировке на вскрытии.




Поделиться с друзьями:


Дата добавления: 2015-06-04; Просмотров: 1048; Нарушение авторских прав?; Мы поможем в написании вашей работы!


Нам важно ваше мнение! Был ли полезен опубликованный материал? Да | Нет



studopedia.su - Студопедия (2013 - 2025) год. Все материалы представленные на сайте исключительно с целью ознакомления читателями и не преследуют коммерческих целей или нарушение авторских прав! Последнее добавление




Генерация страницы за: 0.007 сек.