Студопедия

КАТЕГОРИИ:


Архитектура-(3434)Астрономия-(809)Биология-(7483)Биотехнологии-(1457)Военное дело-(14632)Высокие технологии-(1363)География-(913)Геология-(1438)Государство-(451)Демография-(1065)Дом-(47672)Журналистика и СМИ-(912)Изобретательство-(14524)Иностранные языки-(4268)Информатика-(17799)Искусство-(1338)История-(13644)Компьютеры-(11121)Косметика-(55)Кулинария-(373)Культура-(8427)Лингвистика-(374)Литература-(1642)Маркетинг-(23702)Математика-(16968)Машиностроение-(1700)Медицина-(12668)Менеджмент-(24684)Механика-(15423)Науковедение-(506)Образование-(11852)Охрана труда-(3308)Педагогика-(5571)Полиграфия-(1312)Политика-(7869)Право-(5454)Приборостроение-(1369)Программирование-(2801)Производство-(97182)Промышленность-(8706)Психология-(18388)Религия-(3217)Связь-(10668)Сельское хозяйство-(299)Социология-(6455)Спорт-(42831)Строительство-(4793)Торговля-(5050)Транспорт-(2929)Туризм-(1568)Физика-(3942)Философия-(17015)Финансы-(26596)Химия-(22929)Экология-(12095)Экономика-(9961)Электроника-(8441)Электротехника-(4623)Энергетика-(12629)Юриспруденция-(1492)Ядерная техника-(1748)

Опухоли слюнных желёз




КИСТЫ СЛЮННЫХ ЖЕЛЁЗ

Синдром Хеерфорда

Сухой синдром Шёгрена

Хроническая аутоиммунная патология, чаще вторичная (при системной красной волчанке, ревматоидном артрите, склеродермии, циррозе печени, тиреоидитах) неизвестной этиологии. Обычно страдают женщины среднего и пожилого возраста с HLA B8, DRw52, DR3. В патогенезе имеет значение аутоантитела к тканям слюнных желёз, дисбаланс T-CD4+/T-CD8+, ревматоидный фактор, отмечаемый у 75% больных. Поражаются слюнные и слёзные железы (гипосаливация вплоть до ксеростомии, ксерофтальмия) и суставы — полиартрит. Если суставы остаются интактными, то речь идет про синдром Микулича. Морфологически отмечается увеличение, уплотнение больших и малых слюнных желёз, их лимфоплазмоцитарная инфильтрация, атрофия, склероз. Осложнения — пришеечный кариес, оральный кандидоз, сиаладенит. В 45 раз повышается риск неходжкинских лимфом слюнных желёз.

Сочетание безболезненного увеличения околоушных желёз с иридоциклитом, увеитом, субфибрильной температурой. Аутоиммунным процессом поражаются женщины среднего возраста. В слюнных железах наблюдаются эпителиоидноклеточные гранулёмы с отдельными гигантскими клетками, пролиферация эпителия протоков. Заболевание может приводить к нарушениям саливации, рубцовым сращениям.

Этиология — травмы, пороки развития протоков, хронический сиаладенит, сиалолитиаз. Кисты слюнных желёз могут быть ретенционные и слизистые.

● Ретенционные кисты. Возникают обычно у лиц старше 50 лет, под слизистой оболочкой, округлые, прозрачные. Тонкая стенка из соединительной ткани, выстлана уплощённым эпителием.

● Слизистые кисты. Проявляются до 30 лет, напоминают опухоль, рецидивируют. Стенка из соединительной ткани, слизистых клеток, в просвете слизь. Мукоцеле.

Киста подъязычной железы (лягушачья опухоль, так как напоминает гортанный пузырь лягушки) — около уздечки языка. При инфицировании — гнойное воспаление.

Опухоли составляют до 2–6% всех новообразований. На их долю приходится до 3% хирургических вмешательств в стоматологической практике. Наиболее частая локализация — околоушные (до 75% случаев), малые (14%), поднижнечелюстные (11%), подъязычные (1–3%) железы. В 75–80% наблюдений опухоли имеют строение доброкачественных. Опухоли желёз по происхождению разделяют на эпителиальные, неэпителиальные.

● Эпителиальные опухоли (аденомы, карциномы). Составляют до 95% всех новообразований слюнных желёз.

● Неэпителиальные опухоли. Чаще развиваются у детей. Это гем-, лимфангиомы, нейрофибромы, составляющие до 50% детских опухолей, тогда как у взрослых встречаются примерно в 5% случаев. Редко встречаются злокачественные лимфомы неходжкинские.

● Неклассифицируемые опухоли.

◊ Пограничные и опухолеподобные процессы. Доброкачественное лимфоэпителиальное поражение, сиаладеноз, онкоцитоз, саркоидоз, сиаладенит, гиперплазия внутри- или парапаротидного л/у, кисты.

◊ Вторичные поражения. Метастазы рака кожи, лёгких, почек, молочных желёз.

Аденомы

В ацинусе отмечают в норме ацинарные и миоэпителиальные клетки, во вставочном протоке — эпителиальные, миоэпителиальные и резервные (источники регенерации) клетки. Исчерченный проток представлен эпителиальными клетками и онкоцитами. Междольковый проток — эпителиальными клетками.

Аденомы слюнных желёз составляют до 70–80% всех эпителиальных опухолей желёз и развиваются чаще у женщин старше 50–60 лет. Морфологические разновидности: плеоморфная, лимфоматозная папиллярная цистаденома, миоэпителиальная, базальноклеточная, онкоклеточная, каналикулярная, сальная. Последние две встречаются крайне редко.

● Плеоморфная аденома. Доброкачественная смешанная опухоль. Наиболее частая (до 70%) опухоль слюнных желёз с медленным ростом, соотношение больных мужчин и женщин составляет 1:1,7. В большинстве случаев у лиц старше 50–60 лет определяется плотный безболезненный белесовато-жёлтый узел до 6 см диаметром, иногда дольчатый, с тонкой капсулой, которая может местами отсутствовать. Возможны, особенно у молодых лиц, участки ослизнения (при этом отмечается более быстрый рост и более частые рецидивы). Микроскопически характерны полиморфные эпителиальный и мезенхимальный компоненты. Мелкие клетки с гиперхромными ядрами (тубулярные структуры), светлые клетки (альвеолярные структуры), крупные клетки (крупные тубулярные структуры). Морфологические варианты аденомы: тубулярно-трабекулярная с миксоидным или хондроидным компонентом, солидная.

◊ Тубулярно-трабекулярная с миксоидным или миксоидно-хондроидным компонентом. Чаще рецидивирует, возможен мультицентричный рост. Трабекулы и протоковые структуры располагаются среди слизеподобного вещества с примесью хондроидных структур. Стромальный компонент незначителен (рис. 12-2).

Рис. 12-2. Плеоморфная аденома слюнной железы. Тубулярные и трабекулярные структуры с выраженным миксоидным компонентом. Окраска гематоксилином и эозином (x100).

◊ Тубулярно-трабекулярная с хондроидным компонентом. Микрокисты, миоэпителиальные клетки, мелкие или крупные комплексы клеток, окружённые гиалинизированной тканью, местами похожие на хрящ.

◊ Солидная (до 25% случаев). Состоит из солидных полей крупных цилиндрических клеток с эозинофильной цитоплазмой, отделённых мелких протоков, незначительного количества миксоидного вещества, гиалинизированной ткани преимущественно вокруг сосудов.

Прогноз — возможны рецидивы, иногда многоочаговые.

● Лимфоматозная папиллярная цистаденома (опухоль Уортина, аденолимфома слюнных желёз). Вторая по частоте опухоль желёз (до 6%). В 5 раз чаще встречается у мужчин старше 40 лет. В 99% случаев поражаются околоушная железа, а в 10% — обе железы. Новообразование происходит из протокового эпителия (окружённого лимфоидной тканью) в виде бледно-серого узла до 5 см диаметром, с множеством щелевидных или крупных серозных кист. Микроскопически определяются кистозные образования, железистые структуры с гомогенным эозинофильным веществом, с сосочковыми выростами, двумя клеточными слоями: внутренним — из эозинофильных зернистых клеток, наружным (базальным) — из кубических клеток с мелким светлым ядром (онкоцитов).

Прогноз — возможны рецидивы, что связано с мультицентричным ростом, малигнизация наблюдается редко.

● Миоэпителиальная аденома (миоэпителиома). Составляет до 4% опухолей слюнных желёз и развивается одинаково часто у мужчин и женщин в возрасте 14–80 лет. Локализация — околоушная, реже поднижнечелюстная, малые железы нёба и языка. Безболезненный плотный белесоватый узел в капсуле. Микроскопические варианты: ретикулярная с миксоидным компонентом, солидная, смешанная.

◊ Ретикулярная с миксоидным компонентом (50%). Комплексы и тяжи миоэпителия (эозинофильные полигональные клетки) среди миксоидного вещества, участков гиалиноза (обычно у пожилых).

◊ Солидная (20%). Комплексы плазмоцитоподобных и светлых клеток с мелкими гиперхромными ядрами, перегородками из соединительной ткани.

◊ Смешанная (30%).

● Базальноклеточная аденома. Локализация — околоушная (в 80% случаев), поднижнечелюстная, мелкие железы верхней губы. Макроскопически отмечается бледно-серый узел в капсуле. При гистологическом исследовании определяются комплексы базалоидных клеток двух видов (мелкие кубические тёмные в виде палисадов на периферии и крупные светлые в виде тяжей, трабекул в центре). Морфологические виды — солидный (самый частый), трабекулярный, тубулярный, мембранозный (солидный с гиалиновой мембраной, часто мультилобулярный, без капсулы). Сходство с базалиомой кожи.

Прогноз — возможны рецидивы, особенно при мембранозном типе.

● Онкоцитома (онкоклеточная, оксифильная аденома). Редкая (до 1%) опухоль преимущественно околоушной железы, иногда двусторонняя, у лиц старше 50 лет, чаще у женщин. Эластичный, буровато-коричневый узел с капсулой построен из солидно-альвеолярных структур, состоящих из крупных светлых клеток с зернистой эозинофильной цитоплазмой, небольшим светлым ядром (онкоциты).

Мукоэпидермоидный рак

Мукоэпидермоидный рак слюнных желёз встречается наиболее часто. Составляет до 10% от всех опухолей желёз и до 40% опухолей малых желёз. Несколько чаще опухоль возникает у женщин старше 50 лет. Локализация — околоушные, малые железы нёба (до 40% опухолей нёба). Плотный, иногда каменистый белесоватый узел до 4 см диаметром, в 90% с кистами, местами возможна тонкая капсула. Микроскопически видны эпидермоидные, слизеобразующие клетки, иногда содержащие в цитоплазме гликоген. Варианты по степени злокачественности: низко-, умеренно, высокозлокачественные.

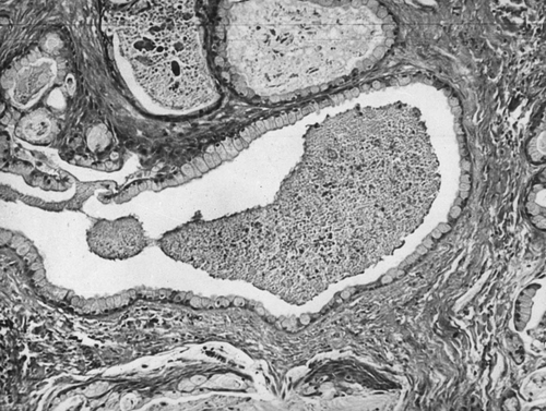
● Низкозлокачественный. Многочисленные макро- и микрокистозные полости, выстланные слизистыми клетками, мелкоочаговый гиалиноз стромы (рис. 12-3).

Рис. 12-3. Низкозлокачественный мукоэпидермоидный рак слюнной железы. Окраска гематоксилином и эозином (x120).

● Умеренно злокачественный. Солидные структуры из эпидермоидных и промежуточных клеток с митотической активностью, микрокисты редкие. Инфильтрирующий рост, возможны микронекрозы, очаговый гиалиноз.

● Высокозлокачественный. Солидные структуры как при плоскоклеточном раке, слизистые клетки редки. Выражен инфильтрирующий рост, фигуры митозов, выраженный гиалиноз стромы, кровоизлияния и в отличие от других форм — некрозы.

Прогноз — пятилетняя выживаемость доходит до 90–100% при низко-, до 60% при умеренно и до 40% при высокозлокачественном раке. Рецидивы наблюдаются в 6%, 20%, 78% случаев соответственно, возможны метастазы. Часто из-за прорастания опухоли развивается паралич лицевого нерва.

Аденокистозный рак

Аденокистозный рак, цилиндрома. Является вторым по частоте раком слюнных желёз, составляя до 10–15%. Чаще возникает в поднижнечелюстной, затем в подъязычной, нёбных слюнных железах, обычно у женщин старше 50 лет (у мужчин в 1,6 реже). Характерен медленный рост, боли, вследствие характерной для опухоли инвазии вдоль оболочек нервов. Новообразование обычно в виде сероватого нечёткого узла до 5 см диаметром, может быть иногда диффузным. Микроскопически состоит из однородных тёмных базалоидных клеток с большими ядрами, окружённых округлыми базо- и оксифильными гомогенными образованиями (цилиндрами). Гистологические варианты: криброзный, тубулярный, солидный.

● Криброзный (до 50%). Мелкие кисты с мукоидным, гиалиновым, ШИК-положительным веществом, тонкие тяжи опухолевых клеток в виде решётчатых структур, напоминающих «швейцарский сыр».

● Тубулярный (до 30%). Трубчатые структуры в гиалинизированной строме.

● Солидный (до 20%). Обширные поля клеток с редкими криброзными структурами, некрозом, слабой стромой. Этот тип наиболее труден для диагностики (напоминает плеоморфную аденому, базальноклеточную карциному).

Прогноз — пятилетняя выживаемость в среднем составляет 70% (до 100% при криброзном, при солидном типе, локализованном особенно в малых железах — 40%). Часто рецидивы, прорастание в полость черепа, головной мозг. Характерны преимущественно гематогенные метастазы особенно при солидном типе (в 50% случаев) в лёгкие, кости, почки, мозг. Лимфогенные метастазы в шейные лимфоузлы отмечаются у 15% больных. Наихудший прогноз при локализации рака в малых слюнных железах.

Злокачественная смешанная опухоль

Карцинома в плеоморфной аденоме, метастазирующая смешанная опухоль. Составляет до 6% опухолей желёз и до 20% их раков. Развивается у лиц в возрасте 30–60 лет. Локализация — околоушная, реже поднижнечелюстная, малые железы нёба. Макроскопически виден нечёткий, быстро растущий, бело-серый, желтоватый узел до 25 см диаметром. Микроскопически характерно сочетание плеоморфной аденомы и рака (чаще низкодифференцированная аденокарцинома, аденокистозный, мукоэпидермоидный, недифференцированный рак). Метастазирующая смешанная опухоль имеет строение аденомы, но имеются метастазы. Редко встречается разновидность этого рака — карциносаркома, состоящая из низкодифференцированного рака и саркоматозного (хондро- или остеосаркома) компонентов.

Прогноз плохой, так как через 1,5–3 года развиваются множественные гемато- и (реже) лимфогенные метастазы в кости (в 50% случаев) и лёгкие (в 30%). Смерть наступает обычно через 3–4 года.

Ациноклеточный рак

Ацинозноклеточная карцинома составляет до 2–3% опухолей слюнных желёз. Развивается у лиц в возрасте после 50 лет, несколько чаще у женщин. Локализация — околоушная, реже поднижнечелюстная, малые железы, в отдельных случаях — в челюстной кости. В 5% случаев опухоль имеет мультицентричный рост. Макроскопически отмечаетсяболезненный дольчатый плотноэластичный светло-коричневый узел до 4 см диаметром, медленно растущий в связи с чем возможно формирование капсулы. Микроскопически характерны солидный, микрокистозный, кистозно-папиллярный, фолликулярный типы, состоящие из клеток с ШИК-положительной, зернистой цитоплазмой, как в ацинарных клетках концевых отделов.

Прогноз — частые рецидивы, а также гемато- и лимфогенное метастазирование, особенно частое при микрокистозном типе.

Базальноклеточная аденокарцинома

На долю базальноклеточной аденокарциномы приходится до 2% злокачественных опухолей слюнных желёз. Возникает у лиц старше 50 лет в околоушной (в 90% случаев), поднижнечелюстной железах. Имеет строение базальноклеточной аденомы с высокой митотической активностью, инфильтрирующим ростом, метастазами, периневральной инвазией (в 30% наблюдений). Считается низкозлокачественным раком (аналог базалиомы кожи) с хорошим прогнозом. Рецидивы встречаются у 25%, тогда как метастазы в шейные лимфатические узлы — у 12% больных. Гематогенные метастазы в лёгкие бывают исключительно редко.

Недифференцированный рак слюнных желёз

Составляет 1% опухолей желёз, у лиц старше 60 лет. Поражаются околоушная, поднижнечелюстная и реже малые железы в виде нечёткого узла, прорастающего в кожу, мягкие ткани. Микроскопически выделяют лимфоэпителиальный, крупноклеточный, мелкоклеточный типы. Для опухоли характерна высокая митотическая активность, некрозы.

Прогноз — частые рецидивы, лимфо- и гематогенные метастазы особенно при опухоли диаметром более 4 см. Пятилетняя выживаемость составляет 30–40%.

Редко встречаются папиллярный, кистозный, фолликулярный раки слюнных желёз, напоминающие папиллярную и фолликулярную карциному щитовидной железы.




Поделиться с друзьями:


Дата добавления: 2015-06-04; Просмотров: 1772; Нарушение авторских прав?; Мы поможем в написании вашей работы!


Нам важно ваше мнение! Был ли полезен опубликованный материал? Да | Нет



studopedia.su - Студопедия (2013 - 2026) год. Все материалы представленные на сайте исключительно с целью ознакомления читателями и не преследуют коммерческих целей или нарушение авторских прав! Последнее добавление




Генерация страницы за: 0.009 сек.