Студопедия

КАТЕГОРИИ:


Архитектура-(3434)Астрономия-(809)Биология-(7483)Биотехнологии-(1457)Военное дело-(14632)Высокие технологии-(1363)География-(913)Геология-(1438)Государство-(451)Демография-(1065)Дом-(47672)Журналистика и СМИ-(912)Изобретательство-(14524)Иностранные языки-(4268)Информатика-(17799)Искусство-(1338)История-(13644)Компьютеры-(11121)Косметика-(55)Кулинария-(373)Культура-(8427)Лингвистика-(374)Литература-(1642)Маркетинг-(23702)Математика-(16968)Машиностроение-(1700)Медицина-(12668)Менеджмент-(24684)Механика-(15423)Науковедение-(506)Образование-(11852)Охрана труда-(3308)Педагогика-(5571)Полиграфия-(1312)Политика-(7869)Право-(5454)Приборостроение-(1369)Программирование-(2801)Производство-(97182)Промышленность-(8706)Психология-(18388)Религия-(3217)Связь-(10668)Сельское хозяйство-(299)Социология-(6455)Спорт-(42831)Строительство-(4793)Торговля-(5050)Транспорт-(2929)Туризм-(1568)Физика-(3942)Философия-(17015)Финансы-(26596)Химия-(22929)Экология-(12095)Экономика-(9961)Электроника-(8441)Электротехника-(4623)Энергетика-(12629)Юриспруденция-(1492)Ядерная техника-(1748)

Нарушения кровообращения




НЕКРОЗ

Некроз (от греч. nekros — мертвый) — омертвение, гибель клеток и тка-
ней в живом организме; при этом жизнедеятельность их полностью прекра-
щается. Некротический процесс проходит ряд стадий: 1) паранекроз- по-
добные некротическим, но обратимые изменения; 2) некробиоз — необра-
тимые дистрофические изменения, характеризующиеся преобладанием катабо-
лических реакций над анаболическими; 3) смерть клетки, время
наступления которой установить трудно; 4) аутолиз — разложение мертво-
го субстрата под действием гидролитических ферментов погибших клеток
и макрофагов. Аутолиз и некроз — не тождественные понятия, но в морфоло-
гическом выражении часто однозначны, особенно при исследовании органов
и тканей с помощью макроскопического и светооптического методов.

Некробиотические и некротические процессы происходят постоянно как
проявление нормальной жизнедеятельности организма, так как отправление
любой функции требует затрат материального субстрата, восполняемых фи-
зиологической регенерацией. Так, покровный эпителий кожи, эпителий респи-
раторного, пищеварительного, мочевого и полового трактов постоянно отми-
рает и регенерирует. Так же погибают и регенерируют клетки при
голокриновой секреции, макрофаги при фагоцитозе и т. д. Кроме того, сле-
дует иметь в виду, что большая часть клеток организма постоянно подвер-
гается старению, естественной смерти и последующему обновлению, причем
продолжительность жизни разных клеток различна и детерминирована гене-
тически. За естественной смертью клетки, завершающей ее старение, следует


Рис. 29. Кариопикноз. Электронограмма: ядро (Я) уменьшено в размерах, кариоплазма
высокой электронной плотности, ядрышко не дифференцируется; в цитоплазме много
вакуолей (В), митохондрии (М) гомогенизированы, комплекс Гольджи (АГ) уменьшен
в размерах; ЭС — эндоплазматическая сеть, х 17 500 (по В. Г. Шарову).

Рис. 30. Кариорексис. Некроз фолликула селезенки при возвратном тифе.

разрушение клетки, в основе которого лежат процессы физиологического
аутолиза.

Таким образом, в организме постоянно совершаются процессы физио-
логической деструкции, т. е. некротические, аутолитические, и вос-
становительные процессы, т. е. репаративные, регенераторные, что
обеспечивает нормальную его жизнедеятельность. Естественно, что при тех
болезнях, при которых возникают тканевые повреждения под действием пато-
генного фактора, процессы некробиоза и некроза бывают представлены осо-
бенно ярко.

Некрозу могут подвергаться часть клетки, клетка, группа клеток, участок
ткани, органа, целый орган или часть тела. Поэтому в одних случаях он опре-
деляется лишь при микроскопическом исследовании, в других — хорошо
различим невооруженным глазом.

К микроскопическим признакам некроза относятся характерные изменения
клетки и межклеточного вещества. Изменения клетки касаются как
ядра, так и цитоплазмы. Ядро сморщивается, при этом происходит конден-
сация хроматина — кариопикноз (рис. 29), распадается на глыбки — ка-
риорексис (рис. 30) и растворяется — к ар и о л и з и с (рис. 31). Пикноз, ре-
ксис и лизис ядра являются последовательными стадиями процесса
и отражают динамику активации гидролаз — рибонуклеазы и дезоксирибону-
клеазы, что ведет к отщеплению от нуклеотидов фосфатных групп и высвобо-
ждению нуклеиновых кислот, которые подвергаются деполимеризации. В ци-
топлазме происходят денатурация и коагуляция белков, ультраструктуры
ее погибают. Такие изменения могут охватывать часть клетки — фо-
кальный коагуляционный некроз (рис. 32), которая отторгается,
или всю клетку — коагуляция цитоплазмы. Коагуляция нередко сме-


Рис. 31. Кариолизис. Некроз эпителия канальцев главных отделов нефрона при острой
почечной недостаточности.

Рис. 32. Фокальный коагуляционный некроз. В участке глубоких инвагинатов апикальной
плазмолеммы нефроцита щеточная кайма отсутствует (показано стрелкой). ЩК — сохранившая-
ся щеточная кайма, х 12 000.

няется распадом цитоплазмы на глыбки (плазморексис). На заключи-
тельном этапе разрушение мембранных структур клетки ведет к ее гидрата-
ции, наступает гидролитическое расплавление цитоплазмы (плазмолиз).
Расплавление в одних случаях охватывает всю клетку (ц и т о л из), в дру-
гих — лишь часть ее (фокальный колликвационный некроз,
или баллонная дистрофия) (рис. 33). При так называемом пери-
ферическом расплавлении цитоплазмы может произойти полное
восстановление наружной мембраны клетки. Изменения цитоплазмы (коагуля-
ция, плазморексис, плазмолиз), так же как и изменения ядра клетки, являются
при некрозе морфологическим отображением ферментативного процесса, в ос-
нове которого лежит активация гидролитических ферментов лизосом.

Изменения межклеточного вещества при некрозе охватывают как
межуточное вещество, так и волокнистые структуры. Межуточное ве-
щество вследствие деполимеризации его гликозаминогликанов и пропитыва-
ния белками плазмы крови набухает и расплавляется. Коллагеновые
волокна также набухают, пропитываются белками плазмы (фибрин), пре-
вращаются в плотные гомогенные массы, распадаются или лизируются.

Изменения эластических волокон подобны описанным выше: набу-
хание, базофилия, распад, расплавление (эластолиз). Ретикулярные
волокна нередко сохраняются в очагах некроза длительное время, но за-
тем подвергаются фрагментации и глыбчатому распаду. Аналогичны измене-
ния и нервных волокон. В ходе распада волокнистых структур несом-
ненна роль специфических ферментов — коллагеназы и эластазы.

Таким образом, в межклеточном веществе при некрозе чаще всего разви-
ваются изменения, характерные для фибриноидного некроза. Реже
они проявляются резко выраженными отеком и ослизнением ткани, что свой-


Рис. 33. Фокальный колликвационный некроз эпителия почечных канальцев (баллонная
дистрофия).

Рис. 34. Тканевый детрит. В участке некроза распад клеток и межклеточного вещества.

ственно колликвационному некрозу. При некрозе жировой
ткани преобладают липолитические процессы. Происходит расщепление ней-
тральных жиров с образованием жирных кислот и мыл, что ведет к реактив-
ному воспалению, образованию липогранулем (см. «Воспаление»). Итак,
в динамике некротических изменений, особенно клетки, существует смена про-
цессов коагуляции и колликвации, однако нередко отмечается преобладание
одного из них, что зависит как от причины, вызвавшей некроз, и механизма
его развития, так и от структурных особенностей органа или ткани, в которых
некроз возникает. По-видимому, этим и объясняется развитие сухого
(коагуляционного) или влажного (колликвационного) не-
кроза.

При распаде клеток и межклеточного вещества в очаге некроза образуется
тканевый детрит (рис. 34). Вокруг очага некроза развивается демарка-
ционное воспаление (см. с. 71).

Участки некроза жадно адсорбируют красители. Ядро и цитоплазма мертвой клетки диф-
фузно и интенсивно окрашиваются при витальной окраске, так как красящие вещества получают
свободный доступ к погибающим структурам. Некоторые из гистохимических реакций в очаге
некроза обусловлены химическими особенностями образующихся в тканевом детрите продук-
тов. Так, интенсивное окрашивание очага некроза пиронином (реакция Браше) свидетельствует
о присутствии в детрите фосфатных групп. Реакция Фельгена на ДНК выявляет осколки ядер.
Интенсивную ШИК-реакцию дают полисахариды плазмы крови (гликоген распадается). Об ин-
судации белков плазмы в зону некроза свидетельствует положительная реакция на фибрин. С де-
полимеризацией гликозаминогликогенов связано непостоянство метахроматических реакций.

При некрозе тканей изменяются их консистенция, цвет, запах.
В одних случаях мертвая ткань становится дряблой и расплавляется (мио-
маляция, энцефаломаляцияот греч. malakas - мягкий), в других -


плотной и сухой (мумификация). Мертвая ткань нередко бывает бледной
и имеет бело-желтый цвет. Таковы, например, очаги некроза в почках, селе-
зенке, миокарде при прекращении притока крови, очаги некроза при действии
микобактерий туберкулеза. Иногда, напротив, она пропитана кровью, имеет
темно-красный цвет. Примером могут служить возникающие на фоне веноз-
ного застоя очаги циркуляторного некроза в легких. Фокусы некро-
за кожи, кишечника, матки часто приобретают грязно-бурый, серо-зеленый
или черный цвет, так как пропитывающие их кровяные пигменты претерпе-
вают ряд изменений. В некоторых случаях фокусы некроза прокрашиваются
желчью. При гнилостном расплавлении мертвая ткань издает характерный
дурной запах.

Скорость развития некробиотических и некротических процессов
определяется рядом причин, но прежде всего степенью активности прижизнен-
ного метаболизма в клетках, напряженностью протекающих в них фермента-
тивных процессов. Поэтому некроз возникает чаще и раньше в функциональ-
но-активных паренхиматозных структурах (функционально-отягощенные от-
делы миокарда, проксимальные и дистальные отделы почек, нейроны
головного мозга и т. д.). Большое значение имеет своеобразие причины, вы-
зывающей некроз (характер, сила, длительность действия патогенного факто-
ра), и механизма его развития (прямое или опосредованное действие).

Механизм развития некроза как такового связан с аутолитическими (гидро-
литическими) процессами, которые начинают развиваться с момента прекра-
щения жизнедеятельности клеток и тканей, т. е. развития их смерти.
Механизмы смерти клеток и тканей сложны и определяются характе-
ром патогенных факторов, структурно-функциональными особенностями тка-
ни, в которой развивается некроз, реактивностью организма, наследственно-
конституциональными факторами. В зависимости от механизма дей-
ствия патогенного фактора различают прямой некроз, обусловленный
непосредственным воздействием, и непрямой некроз, возникающий опос-
редованно через сосудистую и нервно-эндокринную системы.

Во внутриутробном периоде и в детском возрасте преобладает прямой не-
кроз, связанный с непосредственным воздействием инфекционного агента или
токсического вещества на ткани (множественные ареактивные некрозы вну-
тренних органов и слизистых оболочек у плодов, новорожденных и недоно-
шенных при генерализованной ветряной оспе, генерализованной оспенной вак- i
цине, сепсисе, токсоплазмозе) или вследствие побочного токсического
воздействия некоторых лекарственных препаратов (цитостатические средства,
аминазин и др.). Непрямые некрозы, часто встречающиеся у взрослых, на- i
блюдаются у детей в виде исключения при пороках развития сосудистого рус-
ла того или иного органа или нарушениях обмена электролитов.

В зависимости от причины некроза различают следующие его виды:
1) травматический; 2) токсический; 3) трофоневротический; 4) аллергический;
5) сосудистый-

1. Травматический некроз является результатом прямого дей-
ствия на ткань физических или химических факторов (прямой некроз). Такой
некроз возникает при воздействии низких (отморожение) и высоких (ожог)
температур, в краях раневого канала, при электротравме. Он развивается при
непосредственном действии концентрированных минеральных кислот и щело-
чей. Иногда некроз может вызвать усиленное выделение активных веществ
и ферментов (например, некроз слизистой оболочки желудка при гиперсекре-
ции).

2. Токсический некроз развивается в результате действия на ткани
каких-либо токсинов как небактериальногог так и бактериального происхо-
ждения (прямой некроз). Таков некроз эпителия проксимального отдела не-


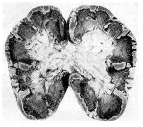
Рис. 35. Тотальный некроз коркового
вещества почки (так называемый сим-
метричный кортикальный некроз по-
чек)- Вид на разрезе.

фрона при отравлении суле-
мой, некроз при специфиче-
ском воспалении^ которое
встречается при туберкулезе,
сифилисе, лепре, склероме.
Некротические участки ткани
при специфическом воспале-
нии сухие, бело-желтые, они
напоминают творог — тво-
рожистый, казеозный
некроз.

3. Трофоневротиче-
ский некроз возникает
при нарушениях нервной тро-
фики тканей (непрямой нек-
роз). В результате этих нарушений развиваются циркуляторные расстройства,
дистрофические и некробиотические изменения, завершающиеся некрозом.
Таковы некрозы при заболеваниях и травмах центральной и периферической
нервной системы (незаживающие язвы при повреждении периферических
нервов). Примером трофоневротического некроза являются и пролежни
(см. с. 71).

4. Аллергический некроз ткани наступает в сенсибилизированном
организме и является, как правило, выражением реакций гиперчувствительно-
сти немедленного типа. Обычно это фибриноидный некроз, часто
встречающийся при инфекционных, аллергических и аутоиммунных заболева-
ниях. Классическим примером аллергического некроза может служить фено-
мен Артюса (некроз тканей в месте введения разрешающей дозы антигена).

5. Сосудистый некроз возникает при нарушении или прекращении
кровотока в артериях вследствие тромбоза, эмболии, длительного спазма
(ангиогенный некроз). Недостаточный приток крови вызывает ише-
мию, гипоксию и гибель ткани вследствие прекращения окислительно-
восстановительных процессов (ишемический некроз). Ишемический
некроз называют инфарктом.

В развитии сосудистого некроза большое значение имеет функцио-
нальное напряжение органа в условиях недостаточности коллате-
рального кровообращения при сужении просвета основных артерий, питаю-
щих орган. Таковы, например, ишемические некрозы миокарда в условиях
функциональной нагрузки при стенозирующем атеросклерозе венечных (коро-
нарных) артерий сердца.

Сосудистый некроз — наиболее распространенный вид некроза. Он встре-
чается при многих заболеваниях, в основе которых лежат ангионевроз и изме-
нения артерий с обструкцией их просветов (атеросклероз, гипертоническая бо-
лезнь, облитерирующий эндартериит, болезнь Рейно). Он развивается также
при тромбоэмболических осложнениях как сердечно-сосудистых (атероскле-
роз, гипертоническая болезнь), так и инфекционно-аллергических заболеваний
(ревматизм, узелковый периартериит, затяжной септический эндокардит
и др.). В ряде случаев сосудистый некроз возникает при шунтировании крови
в органах, т. е. при циркуляции крови по «укороченному» пути. Такой меха-
низм лежит в основе развития некротического нефроза, симметричных некро-
зов коркового вещества (рис. 35), центролобулярных некрозов печени и т. д.



В зависимости от структурно-функциональных особенностей органов
и тканей, в которых возникает некроз, а также от причины его возникновения
и условий развития выделяют следующие клинико-морфологические
формы некроза: 1) коагуляционный; 2) колликвационный; 3) гангрену;
4) секвестр; 5) инфаркт.

1. Коагуляционный (с ухой) некроз характеризуется тем, что арз-
никающие при нем мертвые участки сухие, плотные, сера-желтого цвета. В ос-
нове сухого некроза лежат процессы денатурации белков с образованием труд-
норастворимых соединений, которые могут длительное время не подвергаться
гидролитическому расщеплению, ткань при этом обезвоживается. Условия
развития сухого некроза имеются прежде всего в тканях богатых белками
и бедных жидкостями. Примером могут служить: восковидный. или
ц е н к е р о в с к и й (описан Ценкером), некроз мышц при инфекциях
(брюшной и сыпной тифы), травме; творожистый некроз при туберкулезе,
сифилисе, лепре, лимфогранулематозе; фи бри н о и д ный некроз при аллер-
гических аутоиммунных-заболеваниях.

2. Колликвационный (влажный) некроз характеризуется распла-
влением мертвой ткани,образованием кист.Развивается он в тканях, отно-
сительно бедных белками и богатых жидкостью, где существуют благо-
приятные условия для гидролитических процессов. Типичный влажный некроз

встречается в головном или спинном мозге — очаг размягче н и я или

расплавления. Обычно это очаг серого размя г ч е н и я (иш е м и-

ч е с к и й инфа р к т) головного мозга, имеющий неправильную форму
и представленный кашицеобразными серого цвета массами. При расплавле-
нии масс сухого некроза говорят о вторичной ко л ликвации.

3. Гангрена (от греч. gangrainа — пожар) — некроз тканей, соприкасаю-
щихся с внешней средой (воздух, бактерии). При этом ткани становятся серо-
бурыми или черными, что связано с превращением кровяных пигментов
в сульфид_железа. Различают сухую и влажную гангрены.

При с у х о й гангрене мертвая ткань пол воздействием воздуха высы-
хает, уплотняется, сморщивается, становится похожей на ткань мумий. По-
этому сухую гангрену называют также мумификацией (рис. 36). Сухая
гангрена возникает в тканях, бедных влагой. Таковы сухая гангрена конечно-
сти при атеросклерозе и тромбозе ее артерии (атеросклеротическая гангрена),
при отморожении или ожоге, пальцев — при болезни Рейно или вибрацион-
ной болезни, кожи — при инфекциях (сыпной тиф), сопровождающихся глубо-
кими нарушениями трофики и т. д.

При влажной гангрене мертвая ткань подвергается действию гни-
лостных микроорганизмов (Вас. perfriagens, fusiformis, putrificans, histolyticus,
proteus и др.; особое значение при этом имеет фузоспирохетозный симбиоз),
становится отечной, набухает, издает зловонный запах. Влажная гангрена раз-
вивается чаще в тканях, богатых влагой. Ее возникновению способствуют рас-
стройства кровообращения (венозный застой) и лимфообращения (лимфостаз,
отек). Влажная гангрена встречается в легких, осложняя воспалительные про-
цессы (пневмонии), в кишечнике при закупорке брыжеечных артерий (тром-
боз, эмболия). У ослабленных инфекционным заболеванием (чаще корь) детей
может развиться влажная гангрена мягких тканей щек, промежности, кото-
рую называют номой (от греч. поте — водяной рак) (рис. 37).

От сухой и влажной гангрены следует отличать анаэробную гангрену, представляю-
щую собой самостоятельное инфекционное заболевание, которое вызывается группой опреде-
ленных микроорганизмов (прежде всего Вас. perfringens). Она возникает чаще при огне-
стрельных и других ранениях, сопровождающихся массивной деструкцией мышц и размозже-
нием костей (см. с. 644).


Рис. 36. Сухая гангрена нижней конеч- Рис.37. Нома обеих щек.

ности.

Как разновидность гангрены выделяют пролежни — омертвение поверх-
ностных участков тела (кожа, мягкие ткани), подвергающихся давлению. По-
этому пролежни появляются в области крестца, остистых отростков позвон-
ков, большого вертела бедренной кости.

По своему генезу это трофоневротические некрозы, которые возникают
обычно у тяжелобольных, страдающих сердечно-сосудистыми, онкологически-
ми, инфекционными и нервными болезнями. Пролежни, которые бывают
у истощенных болезнью, а также старых людей с явлениями кахексии, мараз-
ма, называют марантическими некрозами.

4. Секвестр — участок мертвой ткани, который не подвергается аутоли-
зу, не замещается соединительной тканью и свободно располагается среди
живых тканей. Секвестры обычно возникают в костях при воспалении костно-
го мозга — остеомиелите (рис. 38). Вокруг такого костного секвестра обра-
зуются секвестральная капсула и полость, заполненная гноем. Нередко сек-
вестр выходит из полости через свищи, которые закрываются лишь после
полного его выделения. Секвестрируются и мягкие ткани (например, участки
некроза легкого, пролежня), однако секвестры мягких тканей, как правило,
быстро расплавляются.

5. И нфаркт — некроз ткани, возникающий при нарушениях кровообра-
щения (см. с. 86).

Исходнекроза различен. При благоприятном исходе вокруг омертвевших
тканей возникает реактивное воспаление, которое отграничивает мертвую
ткань. Такое воспаление называется демаркационным, а зона отграни-
чения — демаркационной зоной. В этой зоне кровеносные сосуды рас-
ширяются, возникают полнокровие, отек, появляется большое число лейкоци-
тов, которые высвобождают гидролитические ферменты и расплавляют
(рассасывают) некротические массы. Вслед за этим размножаются клетки со-
единительной ткани, которая замещает или обрастает учасокк некроза.

При замещении мертвых масс соединительной тканью говорят об орга-
низации, а при обрастании их и формировании капсулы — об инкапсу-



 


Рис. 38. Секвестр при хроническом остеомиелите.

Рис. 39. Участок некроза (внизу), окруженный фиброзной капсулой (инкапсуляция некроза).

ляции (рис. 39) пораженного участка ткани. В мертвые массы при сухом
некрозе и в очаг омертвения, подвергшийся организации, могут откладываться
соли кальция — в этом случае развивается о бы з в е ст в л ение (пет ри-
фи

кация) очага некроза (см. «Нарушения минерального обмена, мине-
ральные дистрофии», с. 59). В некоторых случаях в участке омертвения обра-
зуется кость (о ссиф и к а ц и я). При рас-
сасывании тканевого детрита и формиро-
вании капсулы, что встречается обычно
при влажном некрозе и чаще всего в го-
ловном мозге, на месте омертвения появ-
ляется п о л о сть—киста (рис. 40).

Неблагоприятный исход некроза —
гнойное расплавление очага
омертвения — сопровождается рядом тя-
желых осложнений. В исходе некроза на
ранних этапах внутриутробного развития
возникает порок органа, части тела.

Значение некроза определяется его сущ-
ностью — это «местная смерть», поэтому
некроз жизненно важных органов нередко
ведет к смерти. Таковы инфаркты мио-
карда, ишемические некрозы головного

Рис. 40. Киста (слева) и очаг размягчения (справа)
в головном мозге (показано стрелками).


мозга, некрозы коркового вещества почек, прогрессирующий некроз печени,
острый панкреонекроз. Нередко омертвёние ткани является причиной тяжелых
осложнений многих заболеваний (разрыв сердца при миомаляции, параличи
при гипертоническом инсульте, инфекщии примассивных пролежнях и т. д.),
а также интоксикации в связи с воздеиствием на организм продуктов
тканевого распада (например, при гангрене конечности). Гнойное расплав-
ление очага омертвения может быть причинои гнойного воспаления серозных
оболочек, кровотечения, сепсиса. При та называемом благоприятном исходе
некроза его последствия бывают весьма значительными, если он имел место
в жизненно важных органах (киста в головном мозге, рубец в миокарде).

СМЕРТЬ, ПРИЗНАКИ СМЕРТИ, ПОС МЕРТНЫЕ ИЗМЕНЕНИЯ

Смерть как биологическое понятие является выражением необратимого
прекращения жизнедеятельности организма.С наступлением смерти человек
превращается в мертвое тело, труп (сadaver).

По причине, ведущей к наступлению смерти, различают естественную (фи-
зиологическую), насильственную и смерть от болезней.

Естественная смерть наступает У людей старческого возраста
и долгожителей в результате естественного (физиологического) изнашивания
организма (физиологическая смерть)- Срок жизни человека не уста-
новлен, однако, если руководствоваться продолжительностью жизни долго-
жителей нашей планеты, он может составлять 150 лет и больше.

Понятен интерес к проблеме старости и старения которой занимается особая отрасль меди-
ко-биологической науки -геронтология (от греч. geron - старый и logos — учение), и к за-
болеваниям старческого возраста, изучаемым гериатрией (от ГРЕЧ. герон — старый и
iatreia — лечение), являющейся разделом геронтологии-

Продолжительность жизни человека растет. так для населения Европы средняя продолжи-
тельность жизни в 1890 г. составляла 38, 7 года, а в 1970 г-~ около 70 лет. В СССР за период
с 1917 по 1970 гг. средняя продолжительность жизни Увеличилась с 32 лет до 71 года. Это увели-
чение происходит за счет улучшения условий жизни снижения смертности от инфекционных за-
болеваний и других факторов.

Насильственная смерть Наблюдается в результате таких действий
(умышленных или неумышленных), как убийство, самоубийство, смерть от
различного рода травм (например, уличная производственная или бытовая
травма), несчастных случаев (например транспортная катастрофа). Насиль-
ственная смерть, являясь социально-правовой категорией, изучается судебной
медициной и органами юстиции.

Смерть от болезней возникает в результате несовместимости жиз-
ни с теми изменениями в организме, которые вызваны патологическими (бо-
лезненными) процессами. Обычно смерть от болезни наступает медленно
и сопровождается постепенным угасанием жизненных функций. Но иногда
смерть наступает неожиданно, как бы cреди полного здоровья (внезапная,
или скоропостижная, смерть). Наблюдается она при скрыто протекаю-
щем или достаточно компенсированное заболевании, при котором внезапно
развивается смертельное осложнение (обильное кровотечение при разрыве
аневризмы аорты, острая ишемия миокарда при тромбозе венечной артерии
сердца, кровоизлияние в мозг при гипертонической болезни и т. д.).

В зависимости от развития обратимых или необратимых изменений жизне-
деятельности организма различают cмерть клиническую и биологическую.

Клиническая смерть характеризуется остановкой дыхания и крово-
обращения, однако эти изменения жизнидеятельности организма в течение не-
скольких минут (время переживания коры головного мозга) обратимы.
В основе клинической смерти лежит своеобразное гипоксическое состояние


(прежде всего ЦНС) в связи с прекращением кровообращения и отсутствием
центральной его регуляции (В. А. Неговский).

Наступлению клинической смерти предшествует агония (от греч. agon —
борьба), отражающая некоординированную деятельность гомеостатических
систем в терминальном периоде (аритмии, паралич сфинктеров, "судороги,
отек легких). Поэтому агонию, которая может длиться от нескольких минут
до нескольких часов, относят к так называемым терминальным со-
стояниям, заканчивающимся клинической смертью. При терминальных со-
стояниях (агония, шок, кровопотеря и т. д.) и клинической смерти используют
комплекс реанимационных (от лат. re + animatio — оживление)
мероприятий. Основные закономерности угасания и восстановления
жизненных функций человека изучает особый раздел медицины, называемый
реаниматологией.

Биологическая смерть — необратимые изменения жизнедеятельно-
сти организма, начало аутолитических процессов. Однако гибель клеток
и тканей при наступлении биологической смерти происходит не одновремен-
но. Первой погибает ЦНС; уже через 5 — 6 мин после остановки дыхания
и кровообращения происходит разрушение ультраструктурных элементов па-
ренхиматозных клеток головного и спинного мозга. В других органах и тка-
нях (кожа, почки, сердце, легкие и т. д.) этот процесс растягивается на не-
сколько часов и даже суток, общая структура многих органов и тканей, наб-
людаемая после смерти под световым микроскопом, довольно долго
сохраняется, лишь при электронно-микроскопическом исследовании отмечает-
ся деструкция ультраструктур клеток. Поэтому патологоанатом, изучая ми-
кроскопически материал, взятый от трупа, может судить о характере патоло-
гических изменений органов и тканей.

В связи с тем что после смерти гибель многих органов и тканей растяги-
вается на сравнительно долгое время, материал, взятый от трупа, используют
для трансплантации (пересадки) органов и тканей. В настоящее время
в клинической практике широко применяются трупная кровь для переливания,
консервированные ткани (роговица, кожа, кости, сосуды) и органы (почка)
трупа для трансплантации.

Вскоре после наступления биологической смерти появляется ряд при-
знаков смерти и посмертных изменений: (1) охлаждение трупа;
2) трупное окоченение; 3) трупное высыхание; 4) перераспределение крови;
5) трупные пятна; 6) трупное разложение.

1. Охлаждение трупа (algor mortis) развивается в связи с прекраще-
нием после смерти выработки в теле тепла и выравнивания температуры
мертвого тела и окружающей среды. Если перед смертью у больного была
очень высокая температура или в длительном атональном периоде наблюда-
лись судороги, то охлаждение трупа происходит медленно. В ряде случаев
(смерть от столбняка, отравления стрихнином) в ближайшие часы после смер-
ти температура трупа может повышаться.

2. Трупное окоченение (rigor mortis) выражается в уплотнении
произвольных и непроизвольных мышц. Оно, обусловлено исчезновением по-
сле смерти из мышц аденозинтрифосфорной кислоты и накоплением в них
молочной кислоты. Трупное окоченение развиваётся обычно через 2 —5 ч по-
сле смерти и к концу суток охватывает всю мускулатуру. Сначала окоченению
подвергаются жевательные и мимические мышцы лица, затем мышцы шеи,
туловища и конечностей. Мышцы становятся плотными: чтобы согнуть в су-
ставе конечность, приходится применять значительное усилие. Трупное окоче-
нение сохраняется в течение 2 — 3 сут, а затем исчезает (разрешается) в той же
последовательности, в какой и возникает. При насильственном разрушении
трупного окоченения оно вновь не появляется.


Трупное окоченение сильно выражено и развивается быстро у лиц с хоро-
шо развитой мускулатурой, а также в тех случаях, когда смерть наступает при
судорогах (например, при столбняке, холере, отравлении стрихнином). Слабо
выражено трупное окоченение у стариков и детей, у лиц, истощенных и умер-
ших от сепсиса; у недоношенных плодов трупное окоченение отсутствует.
Низкая температура окружающей среды затрудняет наступление трупного
окоченения и удлиняет сроки его существования, высокая температура уско-
ряет разрешение трупного окоченения.

3. Трупное высыхание возникает вследствие испарения влаги с по-
верхности тела. Оно может ограничиваться отдельными участками, но высы-
ханию может подвергнуться и весь труп (мумификация трупа). Прежде
всего высыхание затрагивает кожные покровы, глазные яблоки, слизистые
оболочки. С высыханием связано помутнение роговиц, появление на
склере при открытой глазной щели сухих буроватых пятен треугольной
формы; основание этих пятен обращено к роговице, а вершина — к углу глаза.
Слизистые оболочки становятся сухими, плотными, буроватого цвета. На ко-
же сухие, желто-бурые, пергаментного вида пятна появляются прежде всего
в местах мацерации или повреждений эпидермиса. Так называемые перга-
ментные пятна от высыхания могут быть приняты за прижизненные ссадины
и ожоги.

4. Перераспределение крови в трупе выражается в переполнении
кровью вен, тогда как артерии оказываются почти пустыми. В венах и поло-
стях правой половины сердца происходит посмертное свертывание крови.
Образующиеся посмертные сгустки крови имеют желтую или красную окра-
ску, гладкую поверхность, эластичную консистенцию(тянутся) и лежат сво-

бодно в просвете сосуда или камеры сердца,что отличает их от тромбов. При

быстром наступлении смерти посмертных сгустков бывает мало, при медлен-
ном — много.

. При смерти в состоянии асфиксии (например, асфиксия новорожденных)
кровь в трупе не свертывается. Со временем наступает трупный гемолиз.

5. Трупные пятна возникают в связи с перераспределением крови
в трупе и зависят от его положения. В силу того что кровь стекает в вены ни-
жележащих частей тела и там накапливается, через 3 —6 ч после наступления
смерти образуются трупные гипостазы. Они имеют вид темно-фиоле-
товых пятен и при надавливании бледнеют. Трупные гипостазы отсутствуют
в участках тела, подвергающихся давлению (область крестца, лопаток при по-
ложении трупа на спине). Они хорошо выражены при смерти от заболеваний,
ведущих к общему венозному застою, и плохо — при малокровии, истощении.

В последующем, когда наступает посмертный гемолиз эритроцитов,
область трупных гипостазов пропитывается диффундирующей из сосудов
и окрашенной гемоглобином плазмой крови. Возникают поздние трупные
пятна, или трупная имбибиция. Эти пятна имеют красно-розовую
окраску и не исчезают при надавливании.

6. Трупное разложение связано с процессами аутолиза и гниения
трупа. Посмертный аутолиз раньше возникает и интенсивнее выражен
в железистых органах (печень, поджелудочная железа, желудок), клетки ко-
торых богаты гидролитическими (протеолитическими) ферментами. Очень ра-
но возникает посмертное самопереваривание поджелудочной железы. В связи
с активностью желудочного сока происходит посмертное самопереваривание
желудка (гастромаляция). При забрасывании желудочного содержимого в пи-
щевод возможно самопереваривание его стенки (эзофагомаляция), а при аспи-
рации желудочного содержимого в дыхательные пути — «кислое» размягчение
легких (pneumomalacia acida).

К посмертному аутолизу быстро присоединяются гнилостные п р о -


ц е с с ы в связи с размножением гнилостных бактерий в кишечнике и после-
дующим заселением ими тканей.трупа.

Гниение усиливает посмертный аутолиз, ведущий к расплавлению тканей,
которые окрашиваются в грязно-зеленый цвет (от действия сероводорода на
продукты распада гемоглобина образуется сульфид железа) и издают дурной
запах.

Газы, образующиеся при гниении трупа, раздувают кишечник, проникают
в ткани и органы, которые приобретают пенистый вид, и при ощупывании
слышна крепитация (трупная эмфизема). Быстрота трупного аутолиза
и гниения зависит от температуры окружающей среды. В связи с этим трупы
хранят в холодильных камерах. Приостанавливает трупное разложение
и бальзамирование, с помощью которого можно сохранять трупы длительное
время. Однако бальзамирование изменяет внешний вид органов и затрудняет
оценку характера их изменений при патологоанатомическом или судебно-ме-
дицинском исследовании.




Поделиться с друзьями:


Дата добавления: 2014-11-20; Просмотров: 2548; Нарушение авторских прав?; Мы поможем в написании вашей работы!


Нам важно ваше мнение! Был ли полезен опубликованный материал? Да | Нет



studopedia.su - Студопедия (2013 - 2026) год. Все материалы представленные на сайте исключительно с целью ознакомления читателями и не преследуют коммерческих целей или нарушение авторских прав! Последнее добавление




Генерация страницы за: 0.014 сек.