Студопедия

КАТЕГОРИИ:


Архитектура-(3434)Астрономия-(809)Биология-(7483)Биотехнологии-(1457)Военное дело-(14632)Высокие технологии-(1363)География-(913)Геология-(1438)Государство-(451)Демография-(1065)Дом-(47672)Журналистика и СМИ-(912)Изобретательство-(14524)Иностранные языки-(4268)Информатика-(17799)Искусство-(1338)История-(13644)Компьютеры-(11121)Косметика-(55)Кулинария-(373)Культура-(8427)Лингвистика-(374)Литература-(1642)Маркетинг-(23702)Математика-(16968)Машиностроение-(1700)Медицина-(12668)Менеджмент-(24684)Механика-(15423)Науковедение-(506)Образование-(11852)Охрана труда-(3308)Педагогика-(5571)Полиграфия-(1312)Политика-(7869)Право-(5454)Приборостроение-(1369)Программирование-(2801)Производство-(97182)Промышленность-(8706)Психология-(18388)Религия-(3217)Связь-(10668)Сельское хозяйство-(299)Социология-(6455)Спорт-(42831)Строительство-(4793)Торговля-(5050)Транспорт-(2929)Туризм-(1568)Физика-(3942)Философия-(17015)Финансы-(26596)Химия-(22929)Экология-(12095)Экономика-(9961)Электроника-(8441)Электротехника-(4623)Энергетика-(12629)Юриспруденция-(1492)Ядерная техника-(1748)

Внутрішньо-мозкові крововиливи




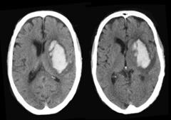
Складають 10-12% всіх випадків інсульту. Ключовою ознакою є швидке прогресування неврологічного дефіциту; великі за розміром крововиливи часто на початку дають розлади свідомості (коми). Характер і важкість неврологічного дефіциту залежить від локалізації та розмірів гематоми. Найбільший ризик крововиливів мають люди з неконтрольованою гіпертензією (утворення мікро аневризм Шарко-Башара). Інші причини: амілоїдна ангіопатія (у людей, старших 70), пухлини, коагулопатії та вживання антикоагулянтів, аневризми та судинні мальформації, зловживання алкоголем та наркотичними речовинами, травма та крововилив у зону мозкової ішемії. Діагноз встановлюється на КТ та МРТ. Хірургічне лікування, як терапія, що врятовує життя, показана при великих лобарних супратенторііальних та мозочкових гематомах, які звичайно порушують свідомість та спроможні викликати дислокацію мозку.

Спонтанні інтрацеребральні гематоми виникають частіше в денний час, ніж вночі, під час напруження. Типова презентація – раптова поява та швидке прогресування неврологічного дефіциту. Приблизно половина хворих відчуває сильний головний біль (тільки 5 – 15% при ішемічному інсульті); 9% мають на початку епілептичний напад; третина пацієнтів відчуває нудоту (коли кров попадає в шлуночки чи коли різко піднімається внутрішньочерепний тиск); частою ознакою є блювота (переважно однократна). Підвищення артеріального тиску при вступі до лікарні є здебільшого фізіологічним гомеостатичним механізмом для підтримання церебральної перфузії і не може розцінюватись, як показник попередньої гіпертонії чи як безпосередня причина крововиливу. Однак такими показниками може бути гіпертонічна ретинопатія при огляді очного дна та гіпертрофія лівого шлуночка серця (ЕКГ).

Гіпертензивні геморагії найчастіше зустрічаються в ділянці базальних гангліїв, таламуса, мозочка та в Варолієвому мосту. Лобарними називають геморагії, що локалізуються у півкулях мозку, але не охоплюють базальних гангліїв та таламуса (аневризми, мальформації, амілоїдна ангіопатія, геморагічний діатез внаслідок застосування антикоагулянтів, кокаїнова чи амфетамінова наркоманія; внутрішньовенне вживання героїну часто ускладнюється септичним ендокардитом з розвитком септичного емболізму та мікотичних мозкових аневризм).

Для диференційної діагностики крововиливів та ішемій можливо використовувати такі критерії: неврологічне погіршення протягом 3 годин від моменту госпіталізації (6 балів)(зумовлене експансією гематоми та прогресуючим набряком мозку), блювота (4 бали), лейкоцитоз > 12000 в 1 мм3 (4 бали), зниження рывня свідомості (3 бали). Якщо сума балів більша 11 балів – геморагічний інсульт, менша 3 балів – ішемічний.

Порушена свідомість, великий розмір гематоми, зміщення серединних структур на КТ та прорив крові у шлуночки – негативні фактори для прогнозу. В частині випадків, хірургічне видалення гематом (особливо мозочкових та лобарних) є життєво необхідним (хоча і не впливає на неврологічний дефіцит). Відмінним у веденні хворих з геморагічним інсультом є жорсткий контроль за зниженням артеріального тиску (до 140/90 мм рт ст.).




Поделиться с друзьями:


Дата добавления: 2015-05-24; Просмотров: 603; Нарушение авторских прав?; Мы поможем в написании вашей работы!


Нам важно ваше мнение! Был ли полезен опубликованный материал? Да | Нет



studopedia.su - Студопедия (2013 - 2026) год. Все материалы представленные на сайте исключительно с целью ознакомления читателями и не преследуют коммерческих целей или нарушение авторских прав! Последнее добавление




Генерация страницы за: 0.012 сек.