Студопедия

КАТЕГОРИИ:


Архитектура-(3434)Астрономия-(809)Биология-(7483)Биотехнологии-(1457)Военное дело-(14632)Высокие технологии-(1363)География-(913)Геология-(1438)Государство-(451)Демография-(1065)Дом-(47672)Журналистика и СМИ-(912)Изобретательство-(14524)Иностранные языки-(4268)Информатика-(17799)Искусство-(1338)История-(13644)Компьютеры-(11121)Косметика-(55)Кулинария-(373)Культура-(8427)Лингвистика-(374)Литература-(1642)Маркетинг-(23702)Математика-(16968)Машиностроение-(1700)Медицина-(12668)Менеджмент-(24684)Механика-(15423)Науковедение-(506)Образование-(11852)Охрана труда-(3308)Педагогика-(5571)Полиграфия-(1312)Политика-(7869)Право-(5454)Приборостроение-(1369)Программирование-(2801)Производство-(97182)Промышленность-(8706)Психология-(18388)Религия-(3217)Связь-(10668)Сельское хозяйство-(299)Социология-(6455)Спорт-(42831)Строительство-(4793)Торговля-(5050)Транспорт-(2929)Туризм-(1568)Физика-(3942)Философия-(17015)Финансы-(26596)Химия-(22929)Экология-(12095)Экономика-(9961)Электроника-(8441)Электротехника-(4623)Энергетика-(12629)Юриспруденция-(1492)Ядерная техника-(1748)

Диагностика




Подозрение на пневмонию должно возникать при наличии у больного лихорадки в сочетании с жалобами на кашель, одышку, отделение мокроты и/или боли в груди.

Классическими объективными признаками ВП являются:

- усиление голосового дрожания;

- укорочение (тупость) перкуторного звука над пораженным участком легкого;

- локально выслушиваемое бронхиальной дыхание;

- крепитация или мелкопузырчатые хрипы;

- усиление брохофонии.

Наличие очагово-инфильтративных изменений в легких при рентгенографии грудной клетки в сочетании с соответствующей симптоматикой инфекции нижних дыхательных путей позволяет верифицировать диагноз пневмонии.

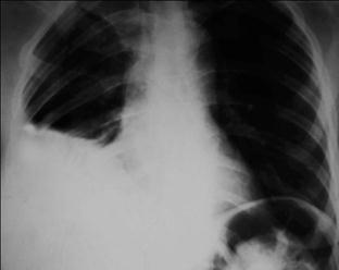
Рентгенологический признак пневмонии – инфильтративное, обычно одностороннее затемнение легочной ткани, которое может быть очаговым, сливным, сегментарным (рис.1-2), долевым (обычно гомогенным) и тотальным. Рентгенологическое исследование следует проводить в двух проекциях – задне-передней и боковой. При выполнении исследования следует оценить распространенность инфильтрации, наличие или отсутствие плеврального выпота и полости деструкции.

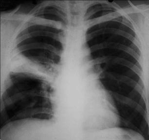
Плевральный выпот осложняет течение ВП в 10-25% случаев и не имеет особого значения в предсказании этиологии заболевания (рис.1-3).

Рис. 1-2. Внебольничная сегментарная пневмония с локализацией в верхней доле правого легкого.

Рис.1-3. Внебольничная пневмония, осложненная экссудативным плевритом.

Полости деструкции в легких появляются при стафилококковой инфекции, аэробных грамотрицательных возбудителях кишечной группы и анаэробов.

По данным рентгенологического метода исследования нельзя говорить об этиологии пневмонии.

Диагностический минимум обследования:

- рентгенография грудной клетки в двух проекциях;

- общий анализ крови: лейкоцитоз более 10-12х109/л со сдвигом лейкоцитарной формулы влево указывает на высокую вероятность бактериальной инфекции, а лейкопения ниже 3х109/л или лейкоцитоз выше 25х109/л являются неблагоприятными прогностическими признаками;

- биохимический анализ крови – мочевина, креатинин, электролиты, печеночные ферменты;

- микробиологическая диагностика: микроскопия мазка, окрашенного по Грамму, посев мокроты для выделения возбудителя и оценки определения его чувствительности к антибиотикам, исследование гемокультуры (оптимально проводить забор двух проб венозной крови из разных вен с интервалом 30-60 минут до назначения антибактериальной терапии);

- исследование газов артериальной крови (РаО2, РаСО2) для уточнения потребности в проведении ИВЛ;

- при наличии плеврального выпота и условий безопасного проведения плевральной пункции (визуализация на латерограмме свободносмещаемой жидкости с толщиной слоя >1,0 см) исследование плевральной жидкости.




Поделиться с друзьями:


Дата добавления: 2014-12-16; Просмотров: 500; Нарушение авторских прав?; Мы поможем в написании вашей работы!


Нам важно ваше мнение! Был ли полезен опубликованный материал? Да | Нет



studopedia.su - Студопедия (2013 - 2026) год. Все материалы представленные на сайте исключительно с целью ознакомления читателями и не преследуют коммерческих целей или нарушение авторских прав! Последнее добавление




Генерация страницы за: 0.008 сек.