Студопедия

КАТЕГОРИИ:


Архитектура-(3434)Астрономия-(809)Биология-(7483)Биотехнологии-(1457)Военное дело-(14632)Высокие технологии-(1363)География-(913)Геология-(1438)Государство-(451)Демография-(1065)Дом-(47672)Журналистика и СМИ-(912)Изобретательство-(14524)Иностранные языки-(4268)Информатика-(17799)Искусство-(1338)История-(13644)Компьютеры-(11121)Косметика-(55)Кулинария-(373)Культура-(8427)Лингвистика-(374)Литература-(1642)Маркетинг-(23702)Математика-(16968)Машиностроение-(1700)Медицина-(12668)Менеджмент-(24684)Механика-(15423)Науковедение-(506)Образование-(11852)Охрана труда-(3308)Педагогика-(5571)Полиграфия-(1312)Политика-(7869)Право-(5454)Приборостроение-(1369)Программирование-(2801)Производство-(97182)Промышленность-(8706)Психология-(18388)Религия-(3217)Связь-(10668)Сельское хозяйство-(299)Социология-(6455)Спорт-(42831)Строительство-(4793)Торговля-(5050)Транспорт-(2929)Туризм-(1568)Физика-(3942)Философия-(17015)Финансы-(26596)Химия-(22929)Экология-(12095)Экономика-(9961)Электроника-(8441)Электротехника-(4623)Энергетика-(12629)Юриспруденция-(1492)Ядерная техника-(1748)

С3-гломерулопатии




С3-гломерулопатии – это группа заболеваний, характеризующихся отложением исключительно С3 фракции комплемента в клубочках (без иммуноглобулинов), что отражает нарушения регуляции системы комплемента. Ярким представителем С3-гломерулопатий является перешедшая из группы МПГН болезнь плотных депозитов (БПД). Это - редкое заболевание. Заболевание преимущественно встречается в детском и юношеском возрастах, независимо от пола.

При световой микроскопии характерен морфологический вариант МПГН, но нередко утолщение ГБМ не сопровождается наличием выраженной пролиферации и двойных контуров. При ЭМ картина кардинально отличается от таковой при МПГН I типа. В толще ГБМ отмечается наличие диффузных электронноплотных депозитов по типу шнуров. ГБМ становится толстой с черным центральным слоем (плотная пластинка). С течением болезни клубочки склерозируются. В тубулоинтерстициальном пространстве могут обнаруживаться атрофия канальцев, фиброз и воспалительные инфильтраты. В отдельных случаях также имеются экстракапиллярные полулуния.

 

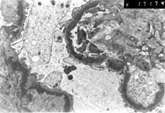
Рисунок. Болезнь плотных депозитов

Массивные электронноплотные депозиты комплемента СЗ в толще ГБМ.

 

Патогенез. БПД развивается вследствие нарушения регуляции системы комплемента. При этом происходит избыточная активация С3 из-за нарушения активности С3-конвертазы, активность которой регулируется как С3-нефритическим фактором (НФ), являющимся по сути аутоантителом IgG(а-НФ). НФ, связываясь с неоантигеном на С3-конвертазе, делает ее резистентной к действию фактора Н. Последний способствует разрушению С3-конвертазы. Присутствие НФ и/или дефицит фактора Н (мутация гена, наличие антител) ведут к бесконтрольной активации комплемента по альтернативному пути, с недостаточной его инактивацией. У большинства пациентов мутаций гена, кодирующего фактор Н, может не быть, но минимальные отклонения в концентрации фактора Н могут привести к развитию заболевания. Причины формирования плотных депозитов неясны. А-НФ обнаруживаются у 55% взрослых и 80% детей с БПД. В то время как атипичный гемолитико-уремический синдром (ГУС) часто наблюдается у людей с дефицитом или нарушением функции фактора Н, такая связь редко имеет место при БПД. Наблюдения свидетельствуют в пользу гипотезы того, что в патогенезе БПД необходимо наличие метаболитов С3 в результате протеолитического разрушения, которые откладываются в ГБМ. Однако в настоящее время неизвестно, ответственны ли фрагменты С3 в ГБМ за формирование плотных депозитов, или плотные депозиты предшествуют отложению комплемента. До сих пор непонятно, почему у некоторых пациентов с нерегулируемой активацией комплемента по альтернативному пути развивается БПД, а у других – атипичный ГУС и другие гломерулярные заболевания.

Клиническая картина. В дебюте БПД клинически не отличается от МПГН I типа. Примерно в половине случаев заболеванию предшествует ОРИ или вакцинация. Всегда имеет место микрогематурия, протеинурия. НС в дебюте заболевания может быть в половине случаев, ассоциируясь с плохим прогнозом. Прогрессирование до тПН через 10 лет наступает у половины пациентов. У одной пятой пациентов заболевание в начале сопровождается макрогематурией. Иногда имеет место быстропрогрессирующе течение, у некоторых пациентов заболевание претерпевает периоды затишья, однако гипокомплементемия сохраняется всегда. Утяжеление заболевания происходит на фоне инфекций. Помимо поражения почек имеет место комплемент-зависимое поражение других органов (глаза, селезенка, жировая ткань). В базальной мембране сетчатки глаза или синусоидах селезенки, которые как и ГБМ омываются плазмой крови, формируются плотные депозиты. У пациентов БПД нередко обнаруживается парциальная липодистрофия.

Диагноз. Предположить наличие БПД можно на основании НиС, НС, гематурии и протеинурии, персистирующем снижении уровня С3 в крови, наличии экстраренальных признаков нарушения регуляции системы комплемента. Тем не менее, диагноз БПД – морфологический, то есть требует проведения биопсии почки и морфологических исследований с включением ЭМ. У пациента и членов семьи проводятся определение концентрации активности фактора Н и др., но только после после гистологического подтверждения диагноза.

Лечение. Лечение включает нефропротективную терапию. При дефиците фактора Н эффективным может быть его возмещение трансфузией свежезамороженной плазмы. Наличие НФ является показанием для плазмафереза. Иммуносупрессивная терапия (ГКС, ИКН, ММФ) обычно неэффективня, за исключением пульс-терапии МП при сочетании БПД с экстракапиллярной пролиферацией и быстропрогрессирующим течением. Проводится изучение эффективности анти-CD20 антител (ритуксимаб), анти-CD57 антител (экулизумаб). В течение 10 лет у большинства пациентов, включая детей, развивается тПН. Почти в 100% случаев после трансплантации почки БПД возвращается в трансплантате почки.

 




Поделиться с друзьями:


Дата добавления: 2014-10-15; Просмотров: 1175; Нарушение авторских прав?; Мы поможем в написании вашей работы!


Нам важно ваше мнение! Был ли полезен опубликованный материал? Да | Нет



studopedia.su - Студопедия (2013 - 2026) год. Все материалы представленные на сайте исключительно с целью ознакомления читателями и не преследуют коммерческих целей или нарушение авторских прав! Последнее добавление




Генерация страницы за: 0.01 сек.